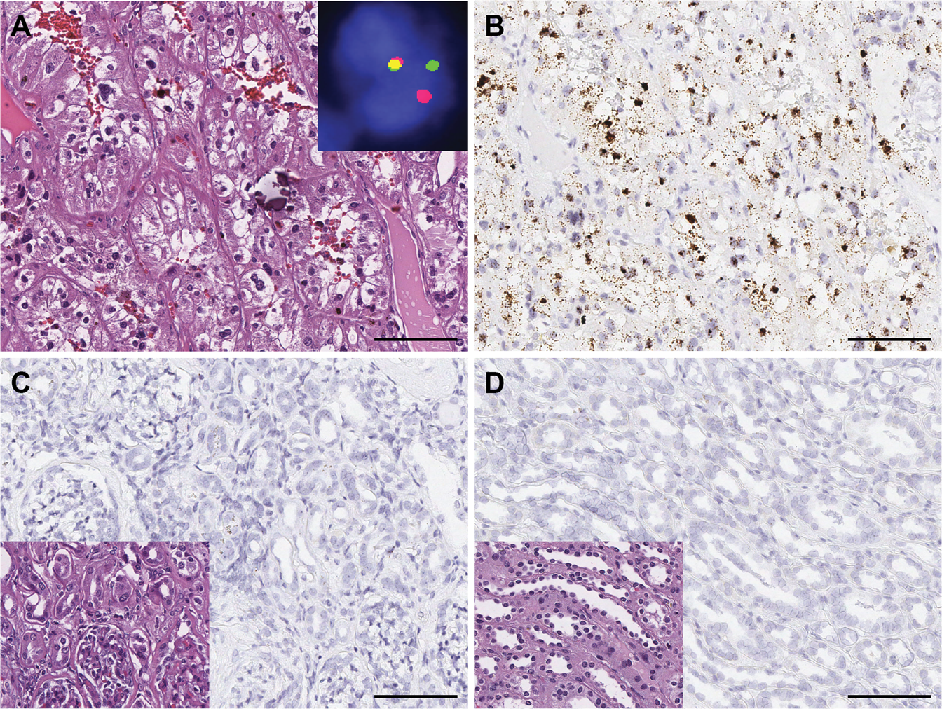
Fig. 2: TRIM63 expression in TFE3 translocation RCC.

A TFE3 translocation RCC showing typical alveolar to nested growth pattern and clear to eosinophilic cells with voluminous cytoplasm, high-grade nuclei, and psammomatous calcification (H&E); inset demonstrated a TFE3 gene rearrangement by dual-color, break-apart FISH. B TRIM63 overexpression in TFE3 translocation RCC by RNA-ISH. TRIM63 signals were enriched in nuclei and also observed in cytoplasm. C, D The absence of TRIM63 expression in renal cortex and medulla, respectively; inset: H&E. Scale bars = 100 μm.