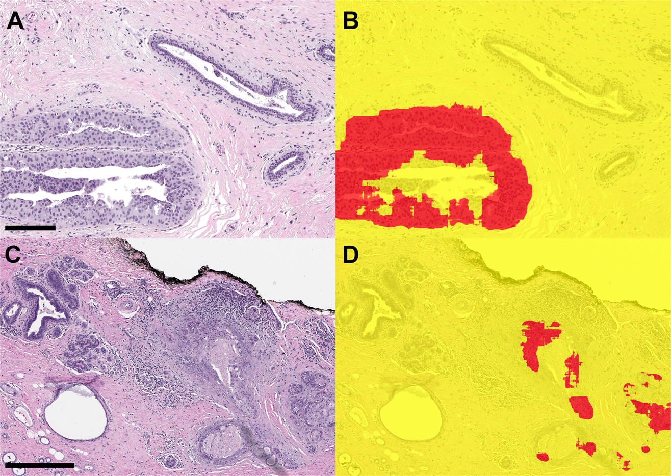
Fig. 4: Examples of ductal carcinoma in situ (DCIS) in margin specimens with segmentation classifications.

A DCIS with pagetoid growth in a duct (left) and adjacent benign duct (right) (scale bar = 0.2 mm). B Segmentation prediction highlights DCIS in red. C High-grade DCIS in margin associated with reactive stroma and chronic inflammation (right) (scale bar = 0.5 mm). D Segmentation image showing correct classification of carcinoma.