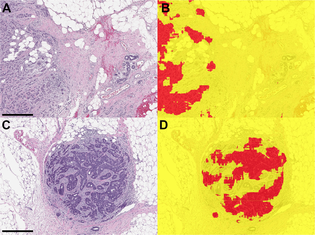
Fig. 5: Invasive ductal carcinoma in margin specimens and segmentation predictions.

A, C Two examples of invasive carcinoma in margin specimens ((A): scale bar = 0.5 mm; (C): scale bar = 0.5 mm). B, D Segmentation predictions show most of the carcinoma was correctly segmented red.