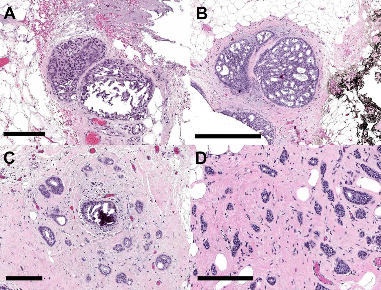
Fig. 6: False negative classifications from the testing set of whole slide images.

A Intermediate-grade DCIS with cautery artifact (scale bar = 0.2 mm). B Low-grade cribriform DCIS (scale bar = 0.5 mm). C, D Two examples of well-differentiated invasive carcinoma ((C): scale bar = 0.2 mm; (D): scale bar = 0.2 mm).