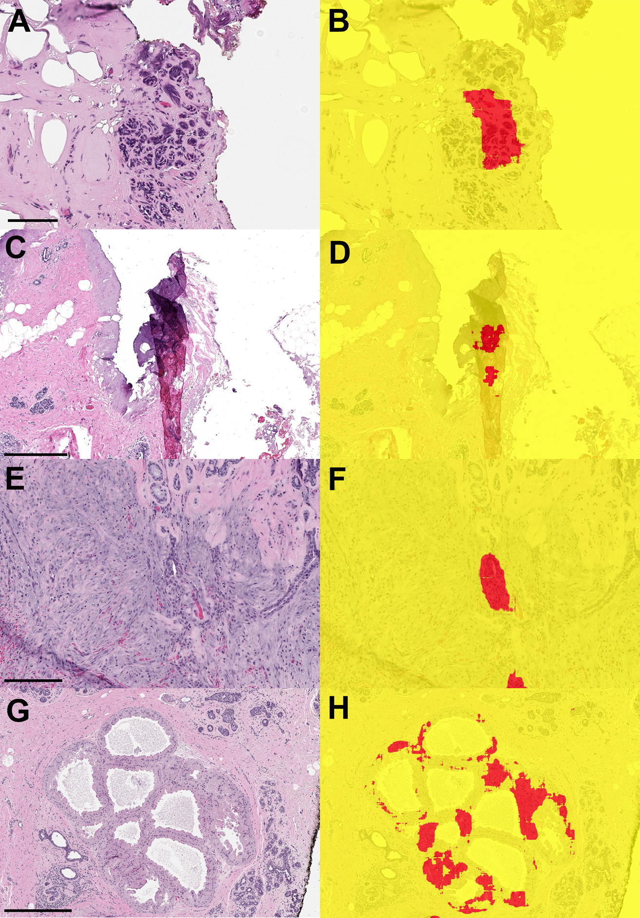
Fig. 7: Examples of whole slide images from benign margin specimens that were falsely classified as positive by the machine learning model.

A, B Benign lobule with cautery artifact ((A): scale bar = 0.1 mm). C, D Fold in tissue led to incorrect classification with the model ((C): scale bar = 0.5 mm). E, F Biopsy site with reactive epithelial changes ((E): scale bar = 0.2 mm). G, H Apocrine metaplasia incorrectly segmented as carcinoma ((G): scale bar = 0.5 mm).