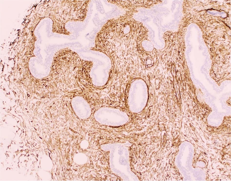
Fig. 5: Myofibroblastic stromal hyperplasia. | Modern Pathology