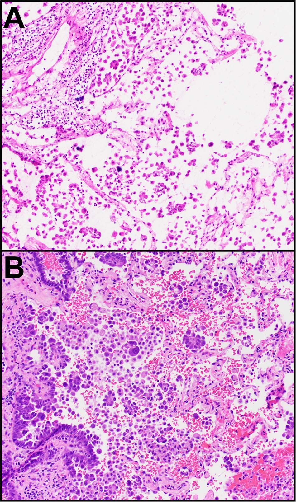
Fig. 2: Concordant case.

An example of a tumor that displayed STAS on both frozen section (A) and permanent section (B). It was composed of the following growth patterns: micropapillary (60%), acinar (20%), papillary (10%), and lepidic (10%).

An example of a tumor that displayed STAS on both frozen section (A) and permanent section (B). It was composed of the following growth patterns: micropapillary (60%), acinar (20%), papillary (10%), and lepidic (10%).