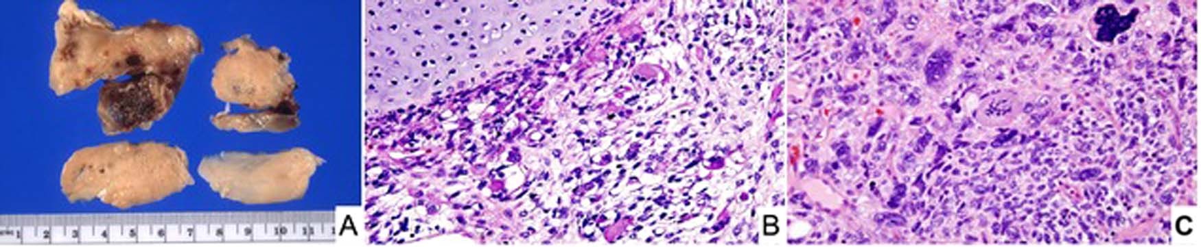
Fig. 1: Pleuropulmonary blastoma, type III.
From: DICER1 tumor predisposition syndrome: an evolving story initiated with the pleuropulmonary blastoma

A Pleuropulmonary blastoma, type III occurring in a 3-year-old male as a large solid thoracic mass. Piecemeal resection revealed a tan-white, myxoid and hemorrhagic neoplasm (one of the original 11 PPB cases). B Focus of embryonal type rhabdomyosarcoma and nodule of malignant cartilage. C Another focus of primitive sarcoma with individual anaplastic cells including bizarre mitotic figure.