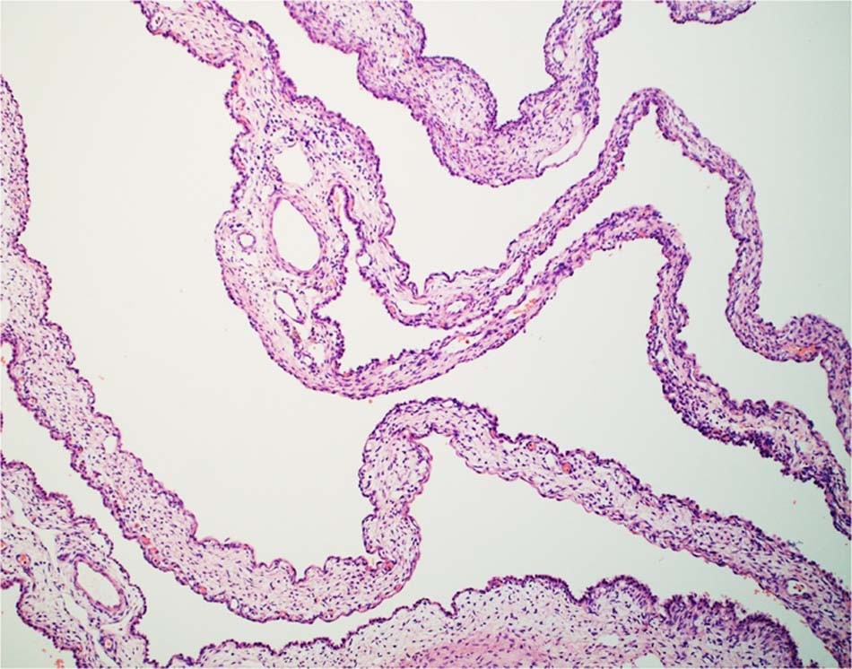
Fig. 6: Pleuropulmonary blastoma, type IR.
From: DICER1 tumor predisposition syndrome: an evolving story initiated with the pleuropulmonary blastoma

Pleuropulmonary blastoma, type IR showing the characteristic multicystic architecture of type I, but in the absence of a primitive small cell or rhabdomyoblastic population only ascertained after a complete microscopic examination of the resected cyst.