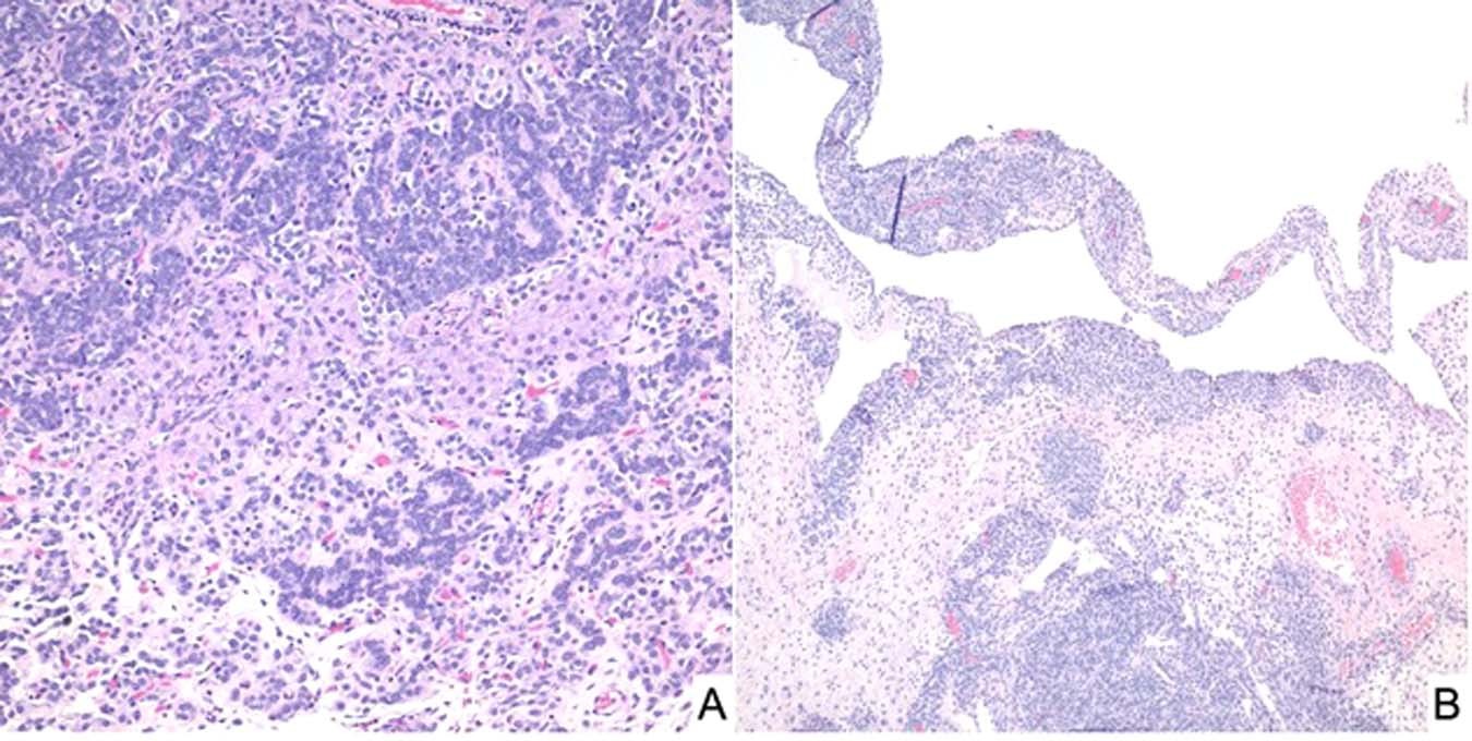
Fig. 7: Sertoli-Leydig cell tumor, moderately differentiated in an adolescent presenting with an abdominal mass.
From: DICER1 tumor predisposition syndrome: an evolving story initiated with the pleuropulmonary blastoma

A Solid foci of this solid and cystic mass showing groups of Sertoli cells and surrounding Leydig cells. B Cystic focus with a delicate septum with a cambium layer-like localization of Sertoli cells with its resemblance to PPB type I.