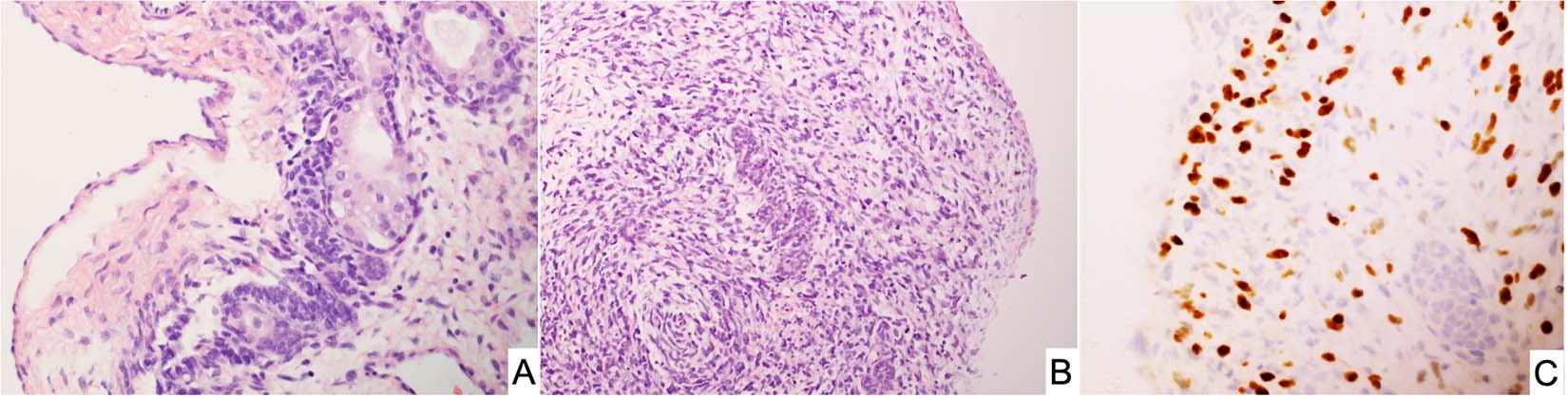
Fig. 8: Sertoli-Leydig cell tumor, moderately differentiated in a 15-year-old female.
From: DICER1 tumor predisposition syndrome: an evolving story initiated with the pleuropulmonary blastoma

A A cystic focus showing a group of Sertoli cells beneath a low cuboidal epithelial surface. B Nests of Sertoli cells surrounded by malignant-appearing, primitive-appearing spindle and round cells in another cystic area of the tumor. C MyoD immunostaining showing intense nuclear positivity to corroborate heterologous rhabdomyosarcoma.