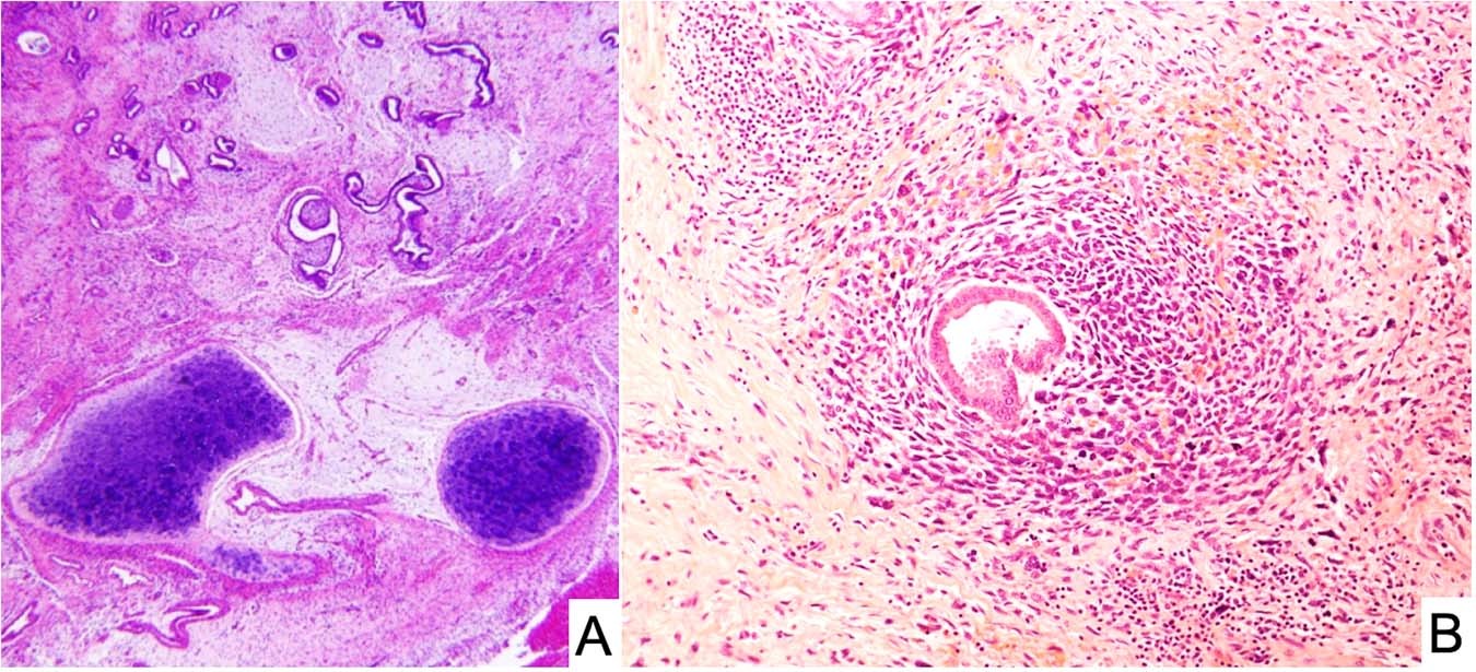
Fig. 9: Embryonal rhabdomyosarcoma of the cervix.
From: DICER1 tumor predisposition syndrome: an evolving story initiated with the pleuropulmonary blastoma

A A polypoid “vaginal” tumor presented in a 9-year-old female showing scattered endocervical glands with variably prominent subepithelial concentration of small cells and nodules of cartilage. PPB-type IR was also detected in the lung and a pathogenic heterozygous germline DICER1 mutation was detected. B Endocervical gland encircled by embryonal rhabdomyosarcoma in an 11-year-old female with a cervical-vaginal mass. She subsequently developed a Sertoli-Leydig cell tumor at age 13 years and had a pathogenic heterozygous germline DICER1 mutation.