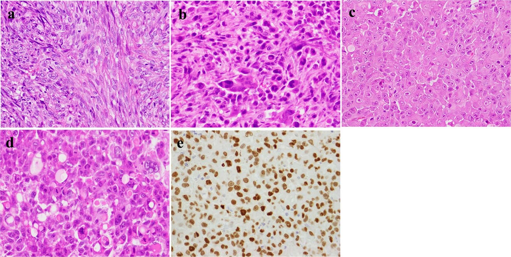
Fig. 1: Histological variations of malignant giant cell tumor of bone (MGCTB).

a Spindle cell subtype. Typical spindle cells proliferate in a fascicular pattern. b Pleomorphic subtype. Large atypical polygonal cells with hyperchromatic nuclei are noted. c Epithelioid cell subtype. Large atypical cells having eosinophilic cytoplasm, rounded to oval nuclei and distinct nucleoli proliferate in a sheet-like pattern. d Tumor cells with signet ring cell-like appearance with vacuolated cytoplasm are focally seen. e The malignant cells are immunohistochemically positive for H3.3 G34W (the same case as Fig. 1c).