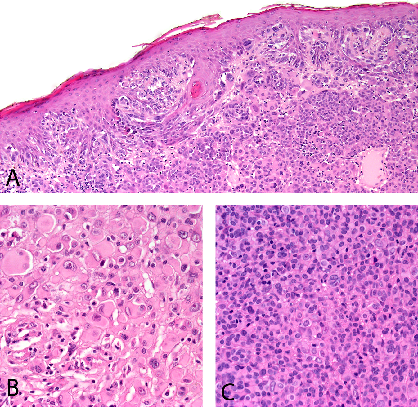
Fig. 2: Dysplastic-like features and cytological variations in BIMT.
From: Novel insights into the BAP1-inactivated melanocytic tumor

Bridging of the adjacent junctional, horizontally arranged nests of conventional and/or epithelioid melanocytes (A). Extreme cell size variability is a constant finding in BIMTs. Epithelioid melanocytes range from small (smaller than a lymphocyte) to giant cells (five times or more the size of lymphocyte/plasma cell) (B). BIMT mainly composed of small epithelioid melanocytes with eosinophilic cytoplasm and well-demarcated cellular border (C).