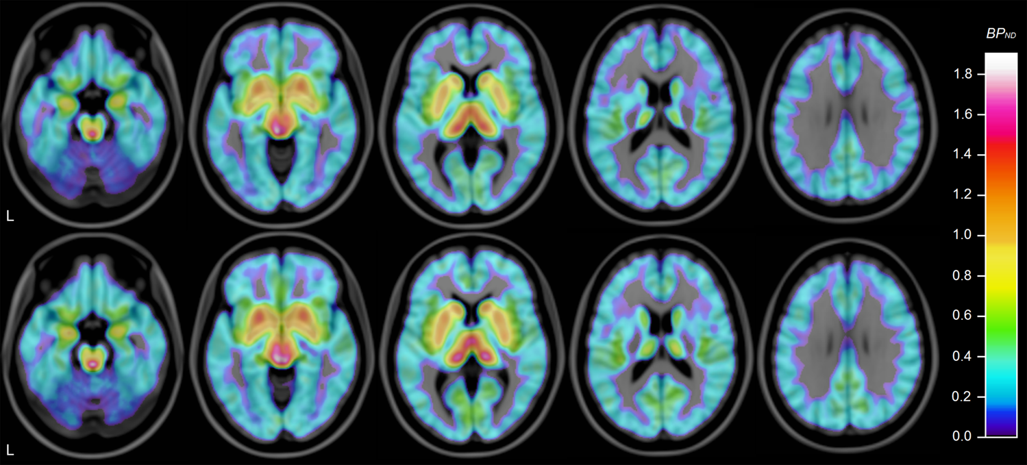
Fig. 2: Mean 5-HTT availability in ASD and control group.
From: Serotonin transporter availability in adults with autism—a positron emission tomography study

Average of individual parametric images created using wavelet-aided parametric imaging [89], normalized to MNI-152 template using FSL 5.0 (FMRIB, Oxford, UK) and overlaid on MRI template. Subjects with ASD above, control subjects below. Horizontal slices, MNI coordinates (mm) z = −20/−8/4/16/28. “L” indicates left.