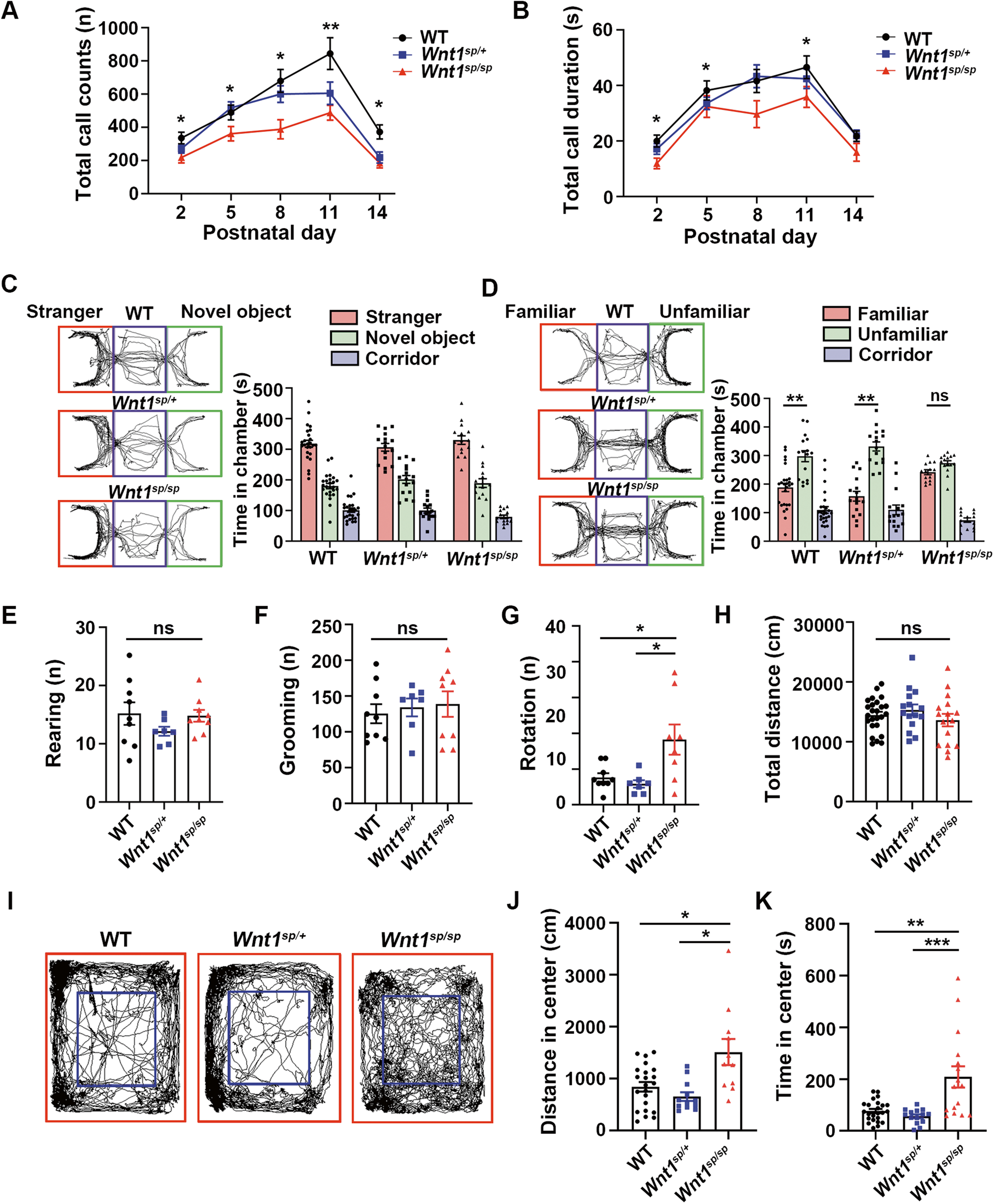
Fig. 1: Wnt1sp/sp rats exhibited robust ASD-like behaviors.

A, B USV test. A Total call counts. B Total call duration. WT (n = 13–23), Wnt1sp/+ (n = 12–23), and Wnt1sp/sp rats (n = 9–22) were examined. C, D Three-chamber test. C Social preference test. The left panel is the trajectory diagram, and the right bar figure shows the time spent in each chamber. D Social novelty test. The same as in (C). WT (n = 26), Wnt1sp/+ (n = 16), and Wnt1sp/sp (n = 14) were examined. E–K Open-field test. E Number of rearing. F Number of grooming. G Number of rotation. H Total distance traveled. I Trajectory diagram of open-field test: the central area (blue square) and the peripheral area (the other parts). J Distance traveled in the central area. WT (n = 22), Wnt1sp/+ (n = 14), and Wnt1sp/sp rats (n = 16) were examined. K Time spent in the central area. WT (n = 22), Wnt1sp/+ (n = 14), and Wnt1sp/sp (n = 16) were examined. All data are expressed as mean ± SEM. *p < 0.05; **p < 0.01; ***p < 0.001, one-way ANOVA followed by Duncan’s test.