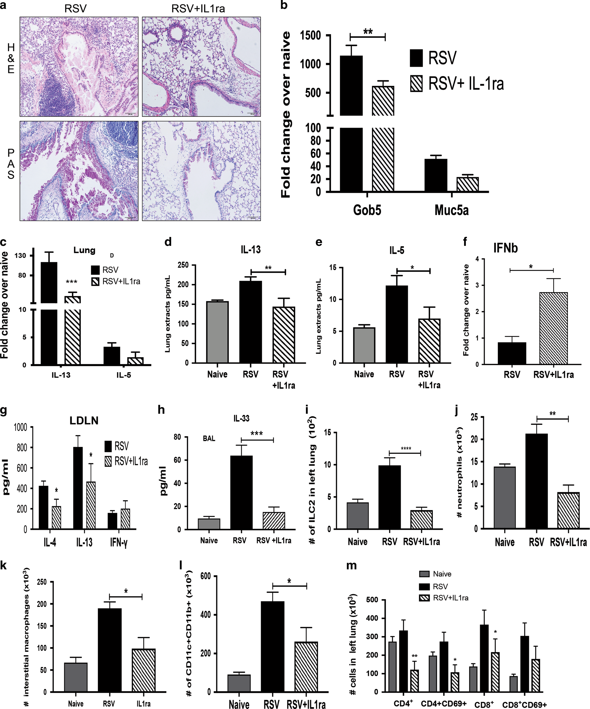
Fig. 7: Targeting IL-1 pathway during RSV infection attenuates the immunopathology response.

a Lung histopathology (H&E) showed inflammatory infiltrated and mucus (PAS staining) were reduced in lungs of mice with IL-1ra as well as b decreased Gob 5 and Muc5 mRNA expression, and c IL-13 and IL-5 mRNA expression. d, e IL-13 and IL-5 production in lung extracts. f qPCR of total lung RNA IFNβ expression. g Lung draining lymph nodes from mice at 8 dpi were re-stimulated with RSV (MOI of 1, 48 h), and T-cell cytokine levels were measured by Bio-Plex. h ELISA of IL-33 from BAL samples collected at 6 dpi. i–m Flow cytometry of lung leukocytes, ILC2 cells, neutrophils, interstitial macrophages, dendritic cells, and T cells from naïve and infected mice at 8 dpi. Data represents the Mean ± SE from 4 to 5 mice (experimental repeats 3–4). *p ≤ 0.05, **p ≤ .01, ***p ≤ 0.001.