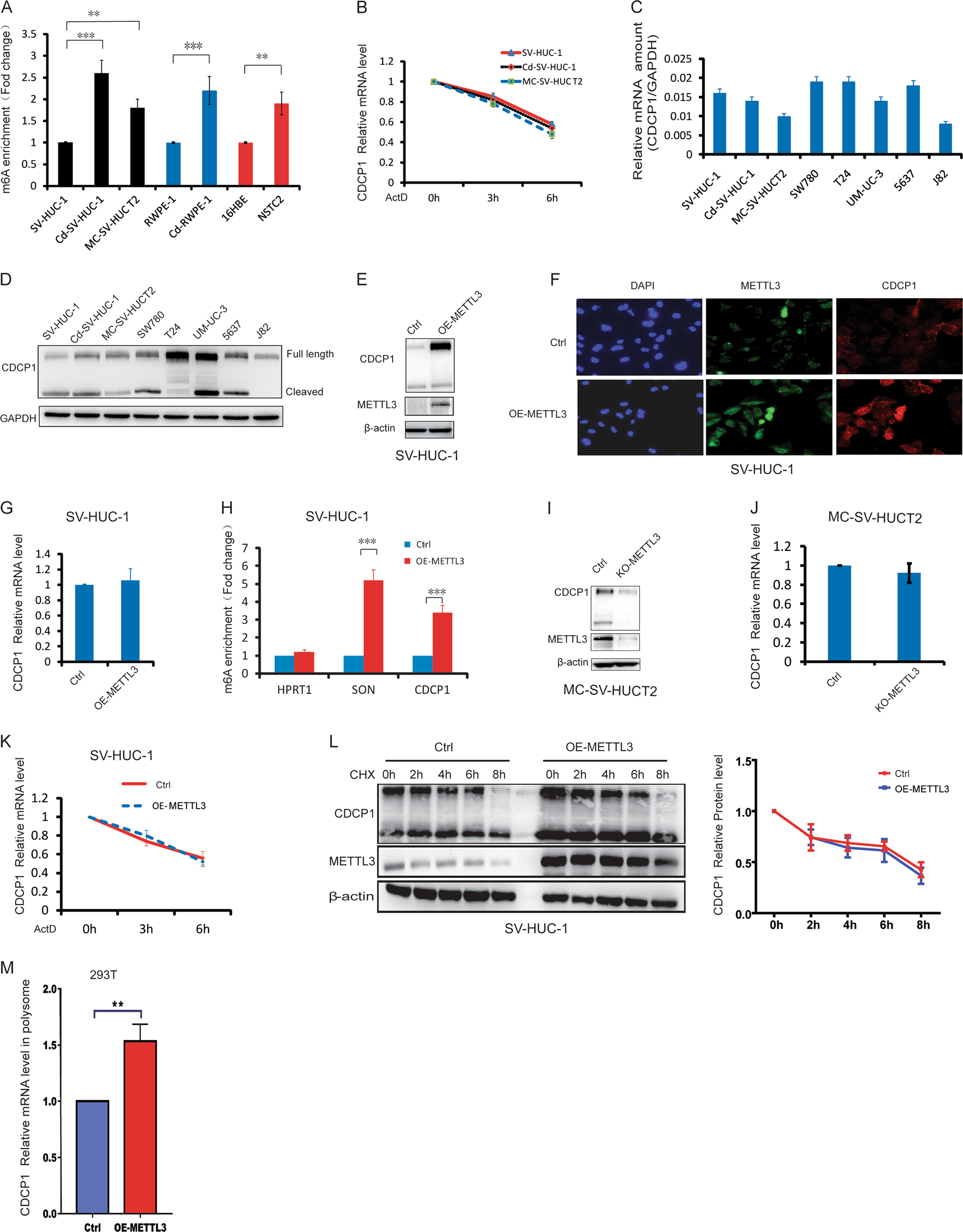
Fig. 2

METTL3 promotes CDCP1 mRNA m6A modification and translation. a m6A enrichment of CDCP1 mRNA 3′-UTR in chemical-transformed cells vs. control cells was validated by MeRIP-qRT-PCR. b CDCP1 mRNA stability was determined by qRT-PCR in control and transformed SV-HUC-1 cells using samples treated with ActD at the indicated times. Error bars, mean ± SEM; n = 3 biological replicates. c qRT-PCR analysis of CDCP1 mRNA expression in SV-HUC-1 cells, transformed cells (Cd-SV-HUC-1, MC-SV-HUC T2), and human bladder cancer cells (SW780, T24, UM-UC-3, 5637, J82). GAPDH was used as an internal control. d Western blotting of CDCP1 in SV-HUC-1 cells, transformed cells (Cd-SV-HUC-1, MC-SV-HUCT2), and human bladder cancer cells (SW780, T24, UM-UC-3, 5637, J82). e Western blotting of CDCP1 protein expression in control and stable METTL3-overexpressing SV-HUC-1 cells (OE-METTL3 SV-HUC-1). f Immunofluorescence analysis of CDCP1 expression in control and OE-METTL3 SV-HUC-1 cells. g qRT-PCR analysis of CDCP1 mRNA expression in control and OE-METTL3 SV-HUC-1 cells. h m6A enrichment of CDCP1 mRNA 3′-UTR in control and OE-METTL3 SV-HUC-1 cells. SON, positive control; HPRT1, negative control. i Western blotting of CDCP1 in control and METTL3-depleted MC-SV-HUCT2 cells (KO-METTL3 MC-SV-HUCT2). j qRT-PCR analysis of CDCP1 mRNA expression in control and KO-METTL3 MC-SV-HUCT2 cells. k CDCP1 mRNA stability in control and OE-METTL3 SV-HUC-1 cells. l CDCP1 protein stability in control and OE-METTL3 SV-HUC-1 cells. Left panel, representative images of METTL3 and CDCP1 western blotting. Right panel, the relative expression of CDCP1 protein in a time course manner after CHX treatment. m CDCP1 mRNA expression of polysomal fractionated RNA in control and METTL3-overexpressing 293T cells. All bar plot data are means ± SEM of three independent experiments except h, where error bars denote SD of technical triplicates. **p < 0.01, ***p < 0.001