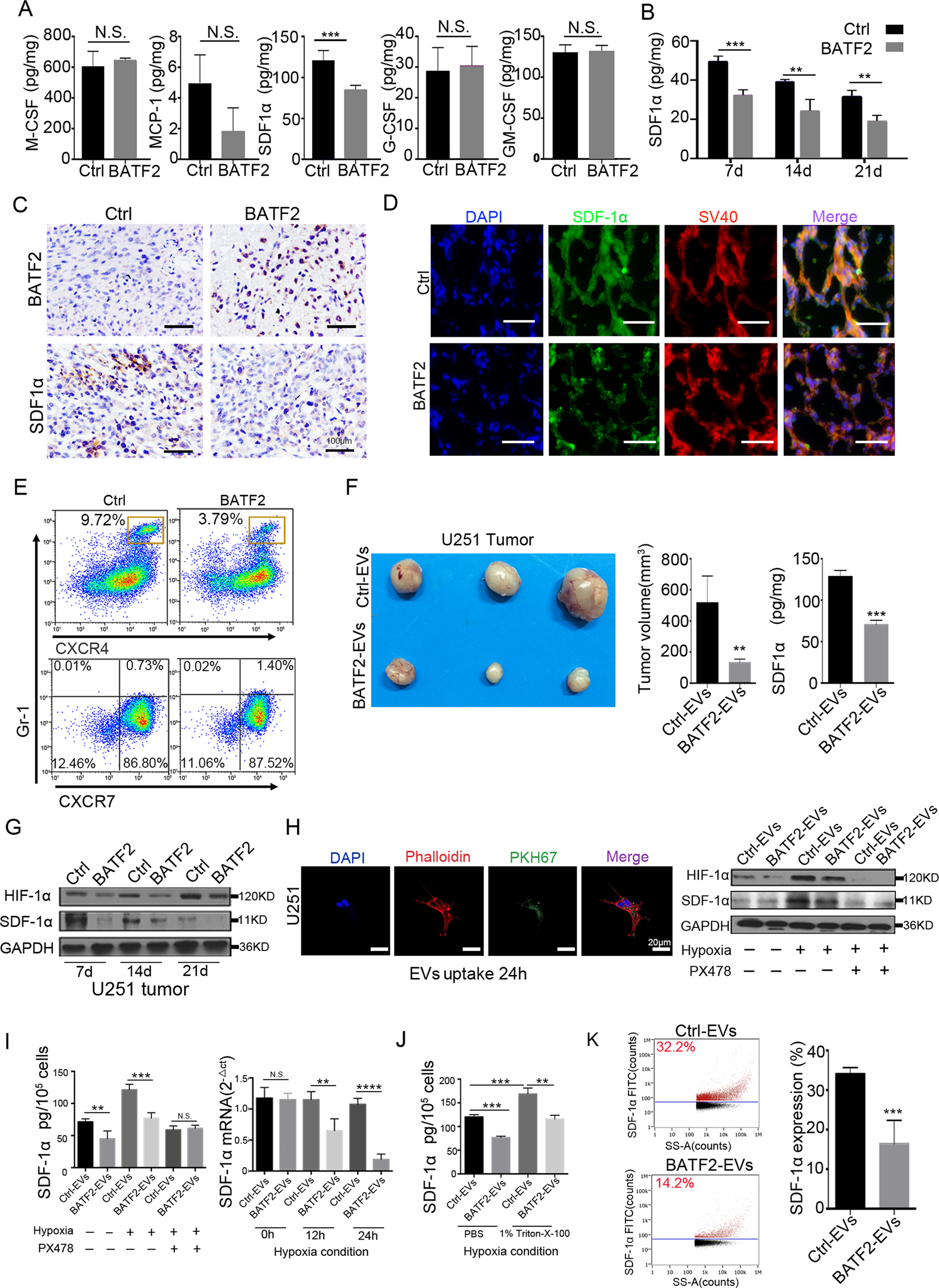
Fig. 4: BATF2 inhibits SDF-1α expression and CXCR4-positive MDSCs infiltration in intracranial tumours.

A ELISA detection of MDSCs-associated cytokines in U251-Ctrl and U251-BATF2 tissues (n = 3, independent experiment, *p < 0.05, **p < 0.01, ***p < 0.001). B ELISA detection of SDF-1α in 7, 14, and 21 days in U251-Ctrl and U251-BATF2 tumour (n = 3, independent experiment, *p < 0.05, **p < 0.01, ***p < 0.001). C Representative IHC images of BATF2 and SDF-1α on consecutive sections of U251-Ctrl and U251-BATF2 intracranial tumours. Scale bars, 100 μm. D Representative images of immunofluorescent staining with SDF-1α (green), SV40 large T (red) and DAPI (blue) in U251-Ctrl and U251-BATF2 intracranial tumours. Scale bars, 25 μm. E Percentages of CXCR4 and CXCR7 expressing cells in CD11b+Gr1+ MDSCs isolated from tumours by FACs analysis. F Representative image of U251 tumour injected with U251-Ctrl- and U251-BATF2-derived EVs for four times, the subcutaneous tumour volume and SDF-1α detection by ELISA (n = 3 independent experiment, *p < 0.05, **p < 0.01, ***p < 0.001). G Western blot detection of HIF-1α and SDF-1α in 7, 14 and 21 days during U251 tumour progression. H EVs labelled by PKH67 added to phalloidin staining U251 cells and western blot detection of HIF-1α and SDF-1α. Scale bars, 20 μm. I ELISA and qPCR detection of SDF-1α in U251 tumour treated with Ctrl-EVs and BATF2-EVs (n = 3, independent experiment, *p < 0.05, **p < 0.01, ***p < 0.001). J ELISA detection of SDF-1α with and without 1% Triton X-100 under hypoxia condition (n = 3, independent experiment, *p < 0.05, **p < 0.01, ***p < 0.001). K Nano-FCM analysis and statistics of SDF-1α expression in Ctrl-EVs and BATF2-EVs (n = 3, independent experiment, *p < 0.05, **p < 0.01, ***p < 0.001).