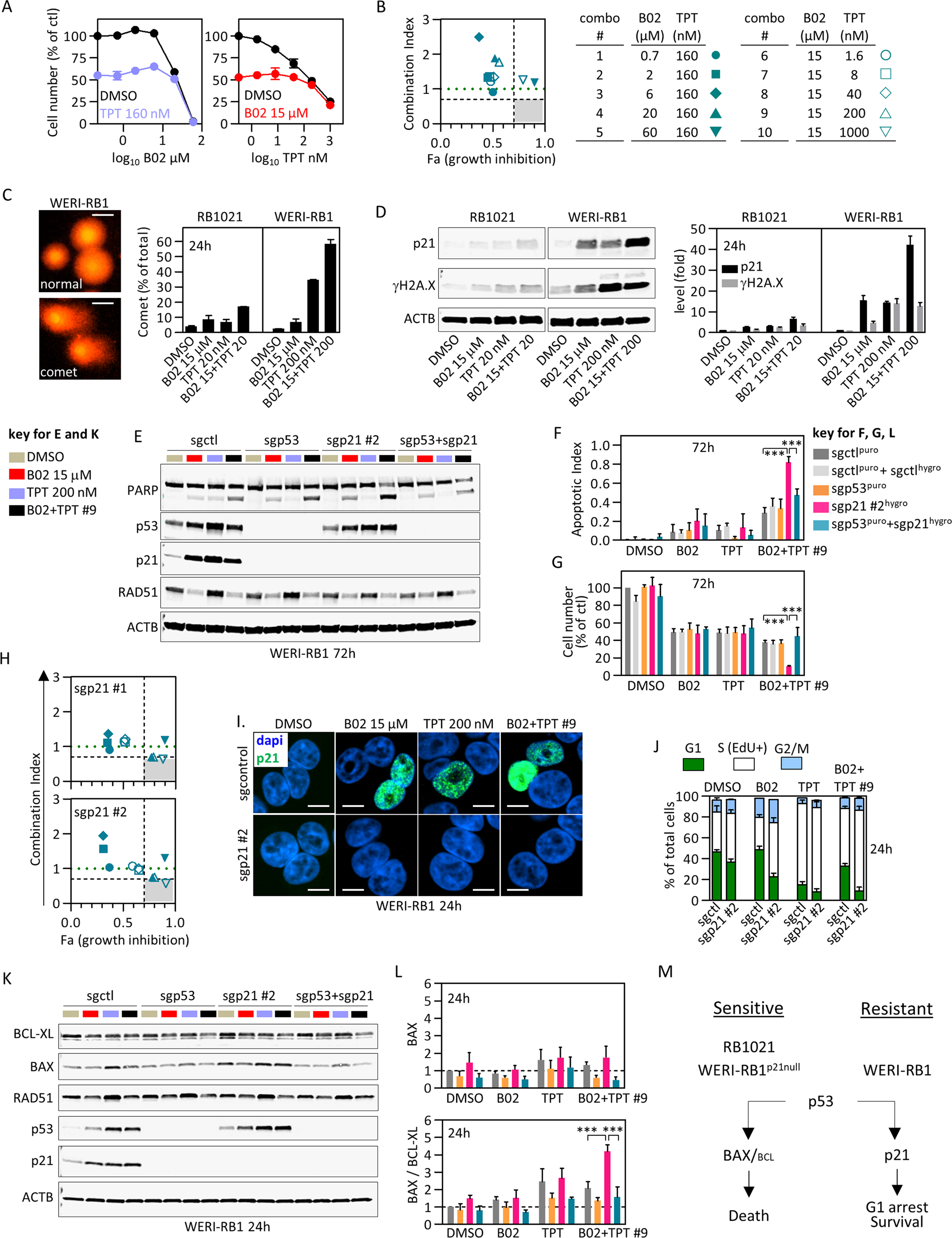
Fig. 5: The p53–p21 axis underpins resistance to B02 and TPT.
From: Functional genomics identifies new synergistic therapies for retinoblastoma

a WERI-RB1 cells were treated with increasing concentrations of B02 (left) or TPT (right) together with vehicle (black) or EC50 doses of TPT (blue) or B02 (red) and cell number determined after 3 days (CellTiter-Glo, n = 2 ± range). b The combos tested in (a) are summarized and CI vs. effect (Fa) plotted. Gray area and green line as in Fig. 4a. Sensitive RB1021 or resistant WERI-RB1 cells were treated 24 h with ≈EC50 B02 and/or TPT and DNA double-stranded breaks assessed by alkaline comet assay (c) and γH2A.X westerns (d). Examples of propidium iodide-stained normal nucleoids, DNA comets, and normalized comet quantification (n = 2 ± range) are shown in (c). Scale bars are 10 μm. In (d), p21 and γH2A.X expression were also quantified (n = 2 ± range). e–g Deletion of p53, p21, or both with CRISPR/Cas9 sgRNA lentiviruses was performed in WERI-RB1, and sensitivity to B02, TPT, and B02 + TPT combo #9 (from (b)) was assessed after 3 days by tracking apoptosis (representative blot in (e), quantified in (f)), and cell number (g) (n = 3, mean ± SD, ***p < 0.001 ordinary one-way ANOVA, Tukey’s multiple comparisons test). p53, p21, RAD51 levels were also assessed in (e). Additional westerns are shown in Fig. S19H. h B02/TPT synergy assay in p21-deleted cells, run as for parental cells in (a, b). The related growth inhibition curves for the two sgp21 tested are shown in Fig. S19G. i, j WT or p21-null WERI-RB1 cells were treated 24 h with single drugs or combo #9 (from (b)) and p21 localization assessed by immunostaining (i), or cell cycle phase defined by EdU and fxcycle staining followed by flow cytometry (j) (n = 2, mean ± range). Representative flow plots are shown in Fig. S19I. Scale bars are 10 μm. k The experiment in (e–g) was repeated but protein levels were assessed at 24 h. l BAX and BCL-XL western blots in (k) were quantified, normalized to actin and DMSO, then levels were plotted as indicated (n = 3, mean ± SD, ***p < 0.001 ordinary one-way ANOVA, Tukey’s multiple comparisons test). m Schematic summarizing the distinct p53 response to B02/TPT in sensitive (left) or resistant (right) contexts.