Fig. 4
From: Correction to: PRSS8 suppresses colorectal carcinogenesis and metastasis

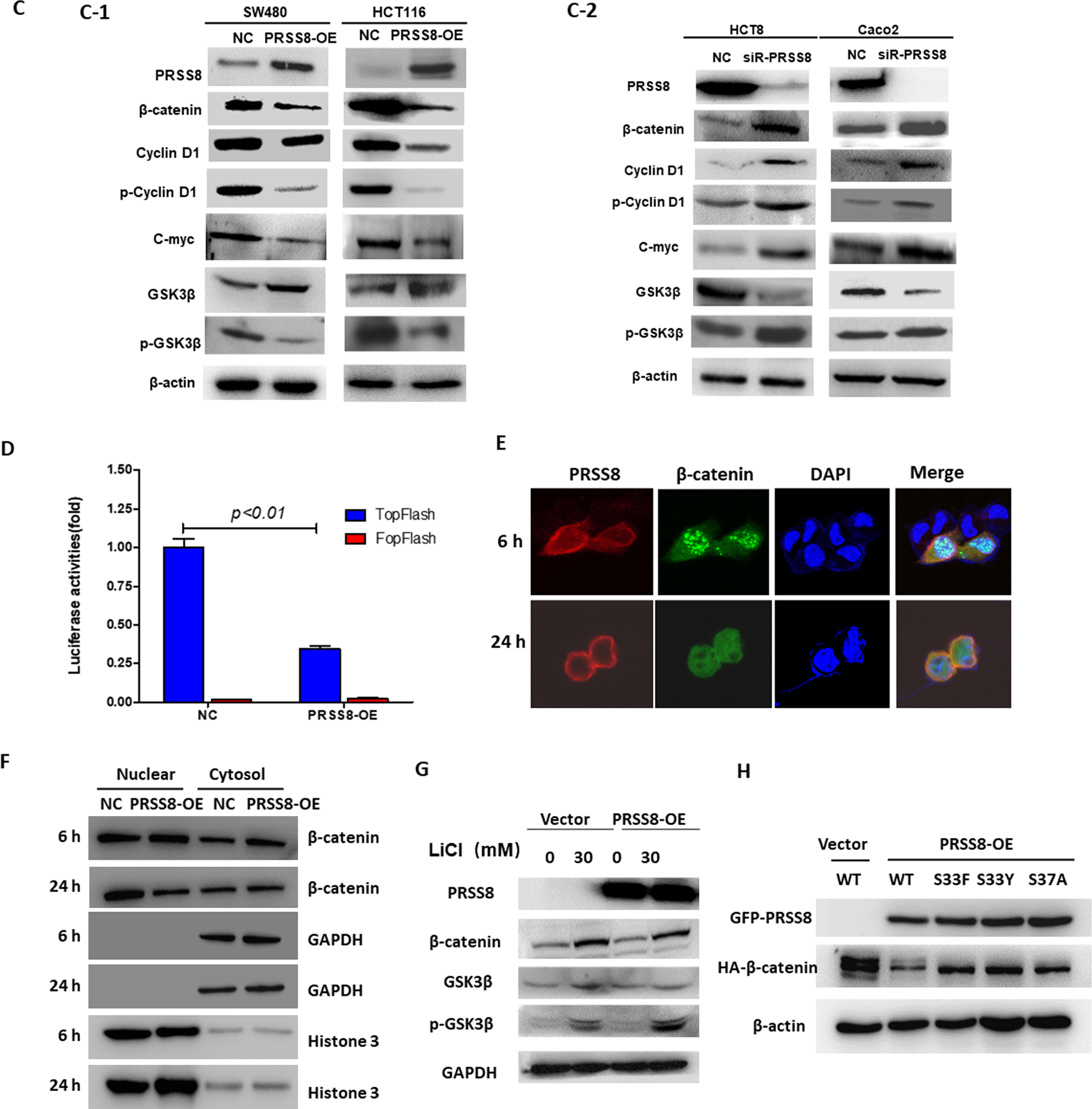
Molecular mechanisms of PRSS8-mediated suppression of carcinogenesis and metastasis, and crosstalk between PRSS8 and the Wnt/β-catenin pathway. a Gene profile on HCt166 cells and gene set enrichment analysis (GSEA) showed that PRSS8 expression is associated with PI3K-AKT, Wnt/β-catenin, epithelial-mesenchymal transition (EMT) and stem cell signaling pathways. b RNA sequence on mouse intestinal epithelial cells from Prss8fl/fl, Cre + and wild-type mice and GSEA showed significant changes in certain major signaling pathways. c PRSS8 affected β-catenin signaling at the protein level in SW480, HCT116, HCT8 and Caco2 colon cancer cells transiently transfected with vector only (negative control, NC), PRSS8 over-expression plasmid (PRSS8-OE), or siRNA targeting PRSS8 (siRNA-PRSS8). d Increased PRSS8 expression suppressed β-catenin-TCF4 luciferase activity, as assayed by determining TopFlash activity. FopFlash was used as a control. e, f PRSS8 affected β-catenin cyto-plasmic/nuclear translocation, as determined by immunofluorescence staining and cellular fragment immunoblotting (GAPDH was used as a cytoplasmic loading control, and Histone 3 was used as a nuclear loading control). g LiCl caused GSk3bta phosphorylation and β-catenin upregulation (lane 2 vs lane 1), and the phosphorylated GSK3β (p-GSk3β) affected PRSS8-mediated β-catenin degradation (lane 4 vs lane 3), in HCT116 cells. h Mutation of GSK3β-mediated phosphorylation sites on the β-catenin protein attenuated PRSS8-induced degradation of the β-catenin protein in HEK293 cells. (WT, wild-type β-catenin; S33F, serine 33 to phenylalanine 33; S33Y, serine 33 to tyrosine 33; S37A, serine 37 to alanine 37).