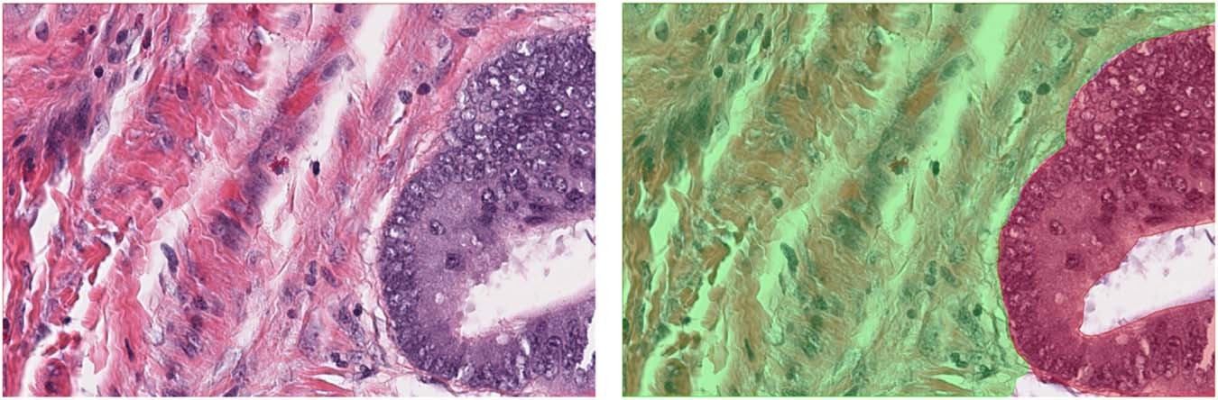
Fig. 2: Segmentation of Tumour in H&E Images.

H&E image showing tumour and extra-tumoural stroma (left) and ground truth segmentation of the compartments (right) tumour in red and stroma in green.

H&E image showing tumour and extra-tumoural stroma (left) and ground truth segmentation of the compartments (right) tumour in red and stroma in green.