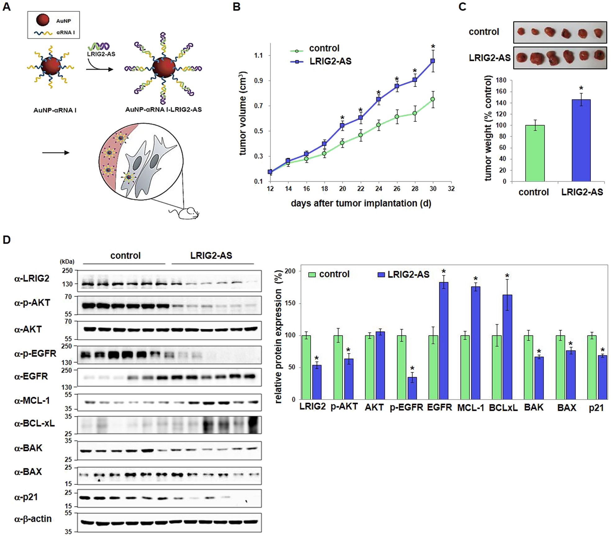
Fig. 5: In vivo delivery of LRIG2 antisense DNA stimulates growth of endometrial carcinoma with concomitant regulation of key mediators.

a A schematic showing generation of functionalized AuNPs conjugated with antisense (AS) DNA specific for LRIG2 or control DNA. b Volumes of tumors from mice injected with either the control (n = 17) or LRIG2–AS oligonucleotides (n = 17) were measured. c Pictures of actual tumors and the tumor weights measured 30 d after xenograft implantation are shown. d Untreated, control xenografts, or xenografts treated with LRIG2–AS were analyzed and key mediators identified. Representative immunoblots and quantified data for tumors from each group (n = 17) are presented. Statistically significant values (mean ± SEM) are labeled with asterisks (p < 0.05)