Fig. 2

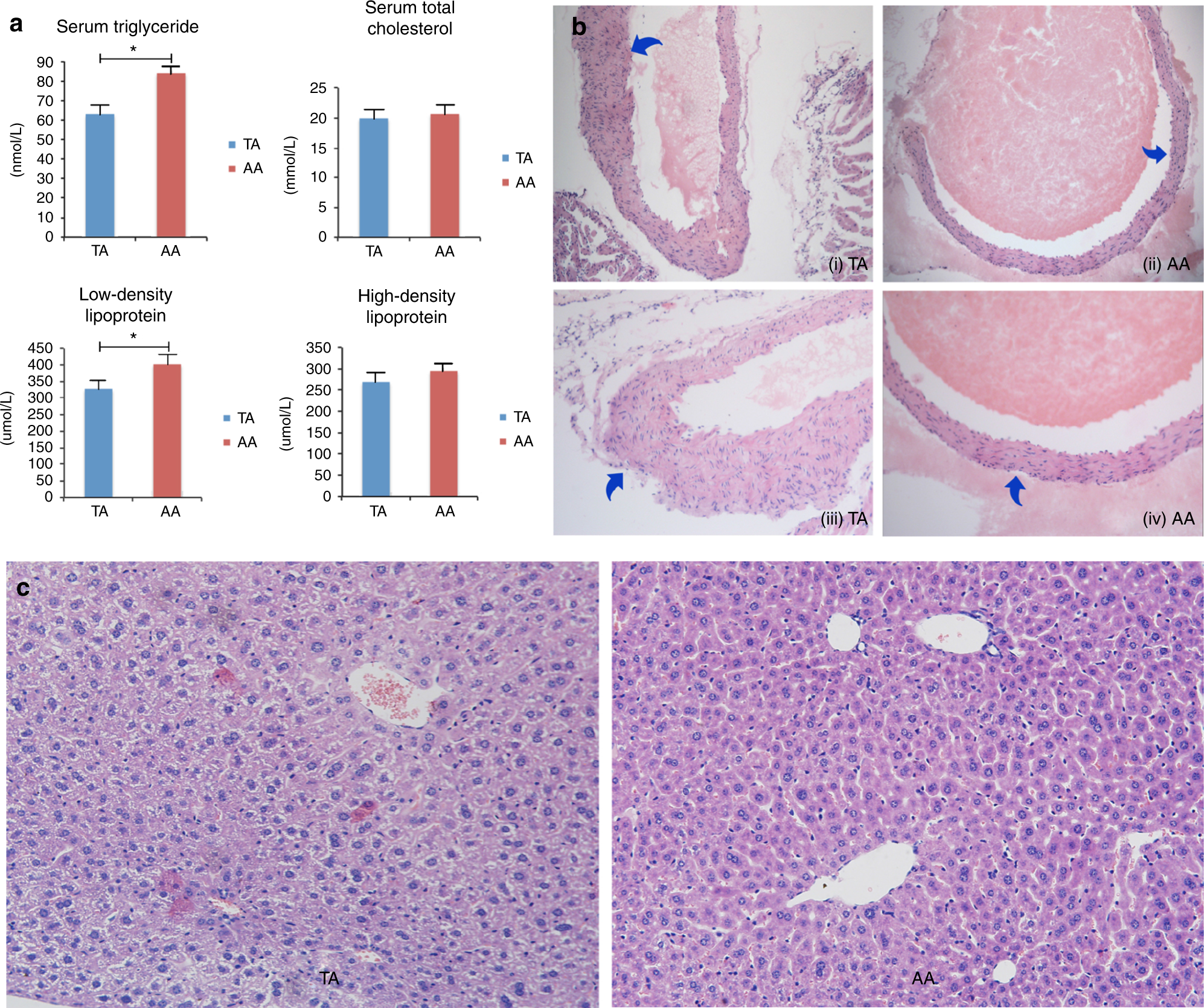
Serum lipid concentrations and histological study of aortic root and liver. a Serum lipid levels at the end of Week 8. nTA = 13, nAA = 6. b H&E-stained aortic roots from TA and AA mice under 10 × 10 (i and ii) and 10 × 20 (iii and iv) magnification. (i) and (iii): TA group; (ii) and (iv): AA group. c Representative H&E-stained histological sections of liver: left, TA group; right, AA group (10 × 20 magnification)