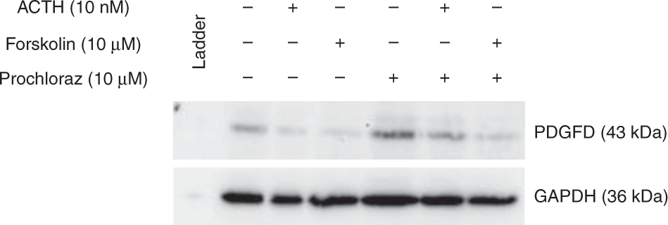
Fig. 2: Effect of ACTH, forskolin and prochloraz on PDGFD protein levels in H295R cells.

Once treated for 24 h, protein extracts were harvested for Western blot. Twenty micrograms of cell extract were then subjected to 10% SDS-PAGE.

Once treated for 24 h, protein extracts were harvested for Western blot. Twenty micrograms of cell extract were then subjected to 10% SDS-PAGE.