Abstract
Background
Studies on cardiovascular changes after fetal growth restriction (FGR) are limited by their design in which growth-restricted neonates are compared to appropriately-grown neonates. We aim to investigate early structural cardiovascular remodeling after FGR in identical twins, controlling for confounding of genetic and maternal factors.
Methods
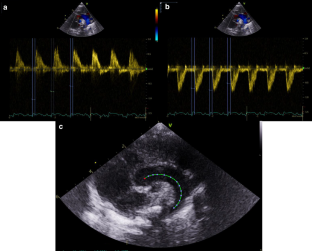
This study is part of a prospective cohort study including monochorionic twins from January 2019. Transthoracic echocardiography was performed within one week after birth. Z-scores for cardiac valve annuli diameters and left ventricle dimensions based on gestational age at birth were compared between smaller and larger twins. Z-score differences between birth weight and cardiac structure per twin were tested against the intercept.
Results
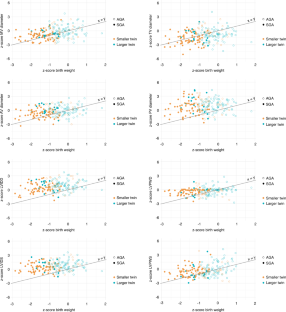
Median gestational age at birth of the 100 included twin pairs was 33.8 (interquartile range (IQR) 30.8–36.1) weeks, with birth weights of 1729 (IQR 1200–2115) grams for smaller twins and 2058 (IQR 1643–2500) grams for larger twins. Smaller twins had a lower z-score for all structures. Z-score differences in birth weight and cardiac structure were higher than the intercept.
Conclusion
While cardiac structures are generally smaller for the twin with the lower birth weight, the deviation in birth weight tends to be more pronounced than the deviation in cardiac structure.
Impact
-
Our study shows that in identical twins, the smaller twin at birth has a structurally smaller heart on neonatal echocardiography when compared to the larger twin. Yet, cardiac structures per individual twin are less affected than body size for their given gestational age at birth.
-
We have used a unique natural experiment by studying a population of identical twins with varying degrees of birth weight discordance, eliminating any confounding of genetic, maternal and obstetrical factors.
-
Our results are suggestive of early cardiovascular remodeling after adverse intrauterine circumstances. This provides insight into the fetal programming of cardiovascular disease.
This is a preview of subscription content, access via your institution
Access options
Subscribe to this journal
Receive 14 print issues and online access
$259.00 per year
only $18.50 per issue
Buy this article
- Purchase on SpringerLink
- Instant access to the full article PDF.
USD 39.95
Prices may be subject to local taxes which are calculated during checkout



Similar content being viewed by others
Data availability
Individual participant data (including data dictionaries) that underlie the results reported in this article will, after de-identification, be available beginning 3 months and ending 10 years following article publication. The study protocol will also be made available. The data will be shared with researchers who provide a methodologically sound proposal and whose proposed use of the data has been approved by an independent review committee identified for this purpose and the medical ethical committee of the Leiden University Medical Center. Proposals should be directed to s.g.groene@lumc.nl. To gain access, data requestors will need to sign a data access agreement.
References
Barker, D. J. & Osmond, C. Infant Mortality, Childhood Nutrition, and Ischaemic Heart Disease in England and Wales. Lancet 1, 1077–1081 (1986).
Barker, D. J. Adult Consequences of Fetal Growth Restriction. Clin. Obstet. Gynecol. 49, 270–283 (2006).
Crispi, F., Miranda, J. & Gratacos, E. Long-Term Cardiovascular Consequences of Fetal Growth Restriction: Biology, Clinical Implications, and Opportunities for Prevention of Adult Disease Mas. Am. J. Obstet. Gynecol. 218, S869–S879 (2018).
Bijnens, B. H., Cikes, M., Claus, P. & Sutherland, G. R. Velocity and Deformation Imaging for the Assessment of Myocardial Dysfunction. Eur. J. Echocardiogr. 10, 216–226 (2009).
Matsui, H., Germanakis, I., Kulinskaya, E. & Gardiner, H. M. Temporal and Spatial Performance of Vector Velocity Imaging in the Human Fetal Heart. Ultrasound Obst Gyn 37, 150–157 (2011).
Salvi, S. et al. Is Cardiomegaly an Indication of “Heart-Sparing Effect” in Small Fetuses? Fetal Diagn. Ther. 48, 701–707 (2021).
Castagno, M. et al. Small-for-Gestational-Age Birth Is Linked to Cardiovascular Dysfunction in Early Childhood. Am. Heart J. 217, 84–93 (2019).
Sarvari, S. I. et al. Persistence of Cardiac Remodeling in Preadolescents with Fetal Growth Restriction. Circ. Cardiovasc. Imaging 10, e005270 (2017).
Cruz-Lemini, M. et al. Fetal Cardiovascular Remodeling Persists at 6 Months in Infants with Intrauterine Growth Restriction. Ultrasound Obstet. Gynecol. 48, 349–356 (2016).
Altın, H. et al. Evaluation of Cardiac Functions in Term Small for Gestational Age Newborns with Mild Growth Retardation: A Serial Conventional and Tissue Doppler Imaging Echocardiographic Study. Early Hum. Dev. 88, 757–764 (2012).
Fouzas, S. et al. Neonatal Cardiac Dysfunction in Intrauterine Growth Restriction. Pediatr. Res 75, 651–657 (2014).
Sehgal, A., Doctor, T. & Menahem, S. Cardiac Function and Arterial Biophysical Properties in Small for Gestational Age Infants: Postnatal Manifestations of Fetal Programming. J. Pediatr. 163, 1296–1300 (2013).
Sehgal, A., Allison, B. J., Gwini, S. M., Miller, S. L. & Polglase, G. R. Cardiac Morphology and Function in Preterm Growth Restricted Infants: Relevance for Clinical Sequelae. J. Pediatr. 188, 128–134.e122 (2017).
Patey, O., Carvalho, J. S. & Thilaganathan, B. Perinatal Changes in Cardiac Geometry and Function in Growth-Restricted Fetuses at Term. Ultrasound Obstet. Gynecol. 53, 655–662 (2019).
Lewi, L. et al. The Outcome of Monochorionic Diamniotic Twin Gestations in the Era of Invasive Fetal Therapy: A Prospective Cohort Study. Am. J. Obstet. Gynecol. 199, 514.e511–518 (2008).
Lewi, L. et al. Clinical Outcome and Placental Characteristics of Monochorionic Diamniotic Twin Pairs with Early- and Late-Onset Discordant Growth. Am. J. Obstet. Gynecol. 199, 511.e1–7 (2008).
Groene, S. G. et al. Twinlife: The Twin Longitudinal Investigation of Fetal Discordance. Twin Res. Hum. Genet 22, 617–622 (2019).
Senat, M. V. et al. Endoscopic Laser Surgery Versus Serial Amnioreduction for Severe Twin-to-Twin Transfusion Syndrome. N. Engl. J. Med. 351, 136–144 (2004).
Tollenaar, L. S. A. et al. Improved Antenatal Prediction of Twin Anemia-Polycythemia Sequence by Delta Middle Cerebral Artery Peak Systolic Velocity: A New Antenatal Classification System. Ultrasound Obstet. Gynecol. 53, 788–793 (2018).
Gratacos, E. et al. A Classification System for Selective Intrauterine Growth Restriction in Monochorionic Pregnancies According to Umbilical Artery Doppler Flow in the Smaller Twin. Ultrasound Obstet. Gynecol. 30, 28–34 (2007).
Khalil, A. et al. Consensus Definition and Essential Reporting Parameters of Selective Fetal Growth Restriction in Twin Pregnancy: A Delphi Procedure. Ultrasound Obst. Gyn. 53, 47–54 (2019).
Perined (Hoftiezer) Geboortegewichtscurves [Perined (Hoftiezer) Birth Weight Curves], https://www.perined.nl/geboortegewichtcurven (2014).
Brock, C. O. et al. Role of Gestational Age at Time of Placental Laser Surgery in Outcomes of Twin-to-Twin Transfusion Syndrome. Ultrasound Obstet Gynecol. 65, 54–62 (2024).
Bartin, R., Colmant, C., Bourgon, N., Ville, Y. & Stirnemann, J. Effect of Gestational Age at Laser Therapy on Perinatal Outcome in Monochorionic Diamniotic Pregnancies Affected by Twin-to-Twin Transfusion Syndrome. Bjog 129, 2028–2037 (2022).
Cruz-Martínez, R. et al. Management of Late Twin-to-Twin Transfusion Syndrome Beyond 26 Weeks: Comparison between Fetoscopic Laser Therapy Versus Traditional Management. Fetal Diagn. Ther. 50, 464–471 (2023).
Van Mieghem, T. et al. Ultrasound Prediction of Intertwin Birth Weight Discordance in Monochorionic Diamniotic Twin Pregnancies. Prenat. Diag 29, 240–244 (2009).
Toemen, L. et al. Tracking of Structural and Functional Cardiac Measures from Infancy into School-Age. Eur. J. Prev. Cardiol. 24, 1408–1415 (2017).
Schiller, N. B. et al. Recommendations for Quantitation of the Left Ventricle by Two-Dimensional Echocardiography. American Society of Echocardiography Committee on Standards, Subcommittee on Quantitation of Two-Dimensional Echocardiograms. J. Am. Soc. Echocardiogr. 2, 358–367 (1989).
Devereux, R. B. et al. Echocardiographic Assessment of Left-Ventricular Hypertrophy - Comparison to Necropsy Findings. Am. J. Cardiol. 57, 450–458 (1986).
Lang, R. M. Recommendations for Cardiac Chamber Quantification by Echocardiography in Adults: An Update from the American Society of Echocardiography and the European Association of, Cardiovascular Imaging (Vol 16, Pg 233, 2015). Eur. Heart J. Cardiovasc. Imaging 17, 412–412 (2016).
Abushaban, L., Vel, M. T., Rathinasamy, J. & Sharma, P. N. Normal Reference Ranges for Left Ventricular Dimensions in Preterm Infants. Ann. Pediatr. Cardiol. 7, 180–186 (2014).
Abushaban, L., Vel, M. T., Rathinasamy, J. & Sharma, P. N. Normal Reference Ranges for Cardiac Valve Annulus in Preterm Infants. Pediatr. Cardiol. 37, 112–119 (2016).
Angoff, R., Mosarla, R. C. & Tsao, C. W. Aortic Stiffness: Epidemiology, Risk Factors, and Relevant Biomarkers. Front. Cardiovasc. Med. 8, 709396 (2021).
Chirinos, J. A. Echocardiographic Assessment of Large Artery Stiffness. J. Am. Soc. Echocardiogr. 29, 1117–1121 (2016).
Jo, C. O., Lande, M. B., Meagher, C. C., Wang, H. & Vermilion, R. P. A Simple Method of Measuring Thoracic Aortic Pulse Wave Velocity in Children: Methods and Normal Values. J. Am. Soc. Echocardiogr. 23, 735–740 (2010).
Rosset, A., Spadola, L. & Ratib, O. Osirix: An Open-Source Software for Navigating in Multidimensional Dicom Images. J. Digital Imaging 17, 205–216 (2004).
Gijtenbeek, M. et al. Early Postnatal Cardiac Follow-up of Survivors of Twin-Twin Transfusion Syndrome Treated with Fetoscopic Laser Coagulation. J. Perinatol. 40, 1375–1382 (2020).
Groene, S. G. et al. Changes in Structural Brain Development after Selective Fetal Growth Restriction in Monochorionic Twins. Ultrasound Obstet. Gynecol. 59, 747–755 (2022).
Rock, C. R. et al. Cardiovascular and Cerebrovascular Implications of Growth Restriction: Mechanisms and Potential Treatments. Int. J. Mol. Sci. 22, 7555 (2021).
Giussani, D. A. The Fetal Brain Sparing Response to Hypoxia: Physiological Mechanisms. J. Physiol.-Lond. 594, 1215–1230 (2016).
Crispi, F. et al. Cardiovascular Programming in Children Born Small for Gestational Age and Relationship with Prenatal Signs of Severity. Am. J. Obstet. Gynecol. 207, 121.e121–129 (2012).
Chen, X. L. & Wang, Y. F. Tracking of Blood Pressure from Childhood to Adulthood - a Systematic Review and Meta-Regression Analysis. Circulation 117, 3171–3180 (2008).
Fontan, M. M. et al. Thoracic Aortic Intima-Media Thickness in Preschool Children Born Small for Gestational Age. J. Pediatr. 208, 81 (2019).
Gijtenbeek, M., Shirzada, M. R., Ten Harkel, A. D. J., Oepkes, D. & M, C. H. Congenital Heart Defects in Monochorionic Twins: A Systematic Review and Meta-Analysis. J. Clin. Med. 8, 902 (2019).
Halvorsen, C. P., Bilock, S. L., Pilo, C., Sonesson, S. E. & Norman, M. Childhood Cardiac Function after Twin-to-Twin Transfusion Syndrome - a 10-Year Follow Up. Acta Paediatr. 98, 1468–1474 (2009).
Nizard, J., Bonnet, D., Fermont, L. & Ville, Y. Acquired Right Heart Outflow Tract Anomaly without Systemic Hypertension in Recipient Twins in Twin-Twin Transfusion Syndrome. Ultrasound Obst Gyn. 18, 669–672 (2001).
Gray, P. H., Cincotta, R., Chan, F. Y. & Soong, B. Perinatal Outcomes with Laser Surgery for Twin-Twin Transfusion Syndrome. Twin Res Hum. Genet 9, 438–443 (2006).
Torres, X. et al. The Heart after Surviving Twin-to-Twin Transfusion Syndrome. Am. J. Obstet. Gynecol. 227, 502.e1–502.e25 (2022).
Munoz-Abellana, B. et al. Hypertrophic Cardiomyopathy-Like Changes in Monochorionic Twin Pregnancies with Selective Intrauterine Growth Restriction and Intermittent Absent/Reversed End-Diastolic Flow in the Umbilical Artery. Ultrasound Obst Gyn. 30, 977–982 (2007).
Acknowledgements
We wish to thank the parents and their twins participating in the Twinlife study for their time and efforts.
Funding
Supported by the Dutch Heart Foundation (grant number 2017T075).
Author information
Authors and Affiliations
Contributions
Each author has met the Pediatric Research authorship requirements, including Substantial contributions to conception and design, acquisition of data, or analysis and interpretation of data; Drafting the article or revising it critically for important intellectual content; and Final approval of the version to be published.
Corresponding author
Ethics declarations
Competing interests
The authors declare no competing interests.
Informed consent
All parents of included infants were asked for and provided written informed consent.
Additional information
Publisher’s note Springer Nature remains neutral with regard to jurisdictional claims in published maps and institutional affiliations.
Supplementary information
Rights and permissions
Springer Nature or its licensor (e.g. a society or other partner) holds exclusive rights to this article under a publishing agreement with the author(s) or other rightsholder(s); author self-archiving of the accepted manuscript version of this article is solely governed by the terms of such publishing agreement and applicable law.
About this article
Cite this article
Groene, S.G., van Zwet, E.W., ten Harkel, A.D.J. et al. Early structural cardiovascular changes on neonatal echocardiography after adverse intrauterine circumstances in identical twins. Pediatr Res 98, 1358–1365 (2025). https://doi.org/10.1038/s41390-025-03916-2
Received:
Revised:
Accepted:
Published:
Version of record:
Issue date:
DOI: https://doi.org/10.1038/s41390-025-03916-2


