Abstract
Background
This pilot study determined whether ultra-low-dose chest tomography (ULDCT) is a feasible tool to assess structural airway abnormalities in adolescents and young adults with cystic fibrosis (CF) taking elexacaftor/tezacaftor/ivacaftor (ETI). We explored if reviewing ULDCT findings with people with cystic fibrosis (PwCF) would impact adherence and satisfaction with airway clearance therapy (ACT).
Methods
PwCF aged 12–25 years taking ETI underwent ULDCT and completed surveys on ACT and medication adherence and satisfaction. Participants reviewed ULDCT findings with a physician and completed follow-up surveys 8-16 weeks later.
Results
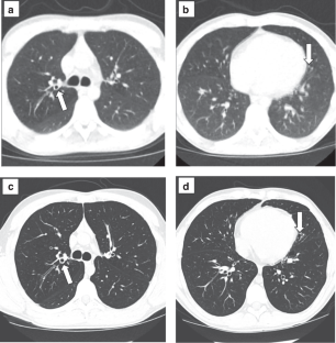
In all, 20 subjects (45% male, median age 18 years, median body mass index 22.7 kg/m2, and 45% F508del homozygous) completed baseline questionnaires and 17 completed ULDCT (median dose length product 6.6 milligray.cm) and post-ULDCT surveys. Findings revealed 13 subjects had bronchiectasis. Baseline surveys revealed 50% of participants reported not completing ACT the week prior to enrollment. Post-ULDCT, 82% reported completing ACT in the prior week. Reported unintentional and purposeful nonadherence to ACT decreased post-ULDCT.
Conclusion
ULDCT is feasible for assessing structural lung abnormalities in adolescents and young adults with CF taking ETI. Incorporating ULDCT with co-production techniques may improve patient satisfaction and align the treatment goals between PwCF and their care team.
Impact
-
This study demonstrates the utility of ultra-low-dose chest CT (ULDCT) to assess structural airway abnormalities in people with CF (PwCF) taking elexacaftor/tezacaftor/ivacaftor (ETI) at risk for airway disease.
-
Findings add to the literature of alternative imaging methods in CF.
-
ULDCT identified a high rate of bronchiectasis among PwCF taking ETI in this study.
-
Data suggest a role for ULDCT in the co-production of ACT recommendations in this population.
-
Incorporating ULDCT with co-production techniques may help align the treatment goals of PwCF and their care team.
This is a preview of subscription content, access via your institution
Access options
Subscribe to this journal
Receive 14 print issues and online access
$259.00 per year
only $18.50 per issue
Buy this article
- Purchase on SpringerLink
- Instant access to the full article PDF.
USD 39.95
Prices may be subject to local taxes which are calculated during checkout

Similar content being viewed by others
Data availability
The datasets used and/or analyzed during the current study are available from the corresponding author upon reasonable request.
References
Guimbellot, J. S. et al. Long term clinical effectiveness of ivacaftor in people with the G551D CFTR mutation. J. Cyst. Fibros. 20, 213–219 (2021).
Sutharsan, S. et al. Impact of elexacaftor/tezacaftor/ivacaftor on lung function, nutritional status, pulmonary exacerbation frequency and sweat chloride in people with cystic fibrosis: real-world evidence from the German CF Registry. Lancet Reg. Health Eur. 32, 100690 (2023).
Heijerman, H. G. M. et al. Efficacy and safety of the elexacaftor plus tezacaftor plus ivacaftor combination regimen in people with cystic fibrosis homozygous for the F508del mutation: a double-blind, randomised, phase 3 trial. Lancet 394, 1940–1948 (2019).
Middleton, P. G. et al. Elexacaftor-tezacaftor-ivacaftor for cystic fibrosis with a single Phe508del allele. N. Engl. J. Med. 381, 1809–1819 (2019).
Nichols, D. P. et al. Clinical effectiveness of elexacaftor/tezacaftor/ivacaftor in people with cystic fibrosis: a clinical trial. Am. J. Respir. Crit. Care Med. 205, 529–539 (2022).
Yaacoby-Bianu, K. et al. Effectiveness of elexacaftor/tezacaftor/ivacaftor in people with cystic fibrosis with mildly decreased and normal lung function: a real-life observational study. Ann. Am. Thorac. Soc. 21, 1620–1623 (2024).
Reamer, C., O’Malley, C., Nufer, J. & Savant, A. Improved outcomes in cystic fibrosis using modified Re-Education of Airway Clearance Technique (REACT) programme. BMJ Open Qual. 9. https://doi.org/10.1136/bmjoq-2019-000890 (2020).
Mayer-Hamblett, N. et al. Discontinuation versus continuation of hypertonic saline or dornase alfa in modulator treated people with cystic fibrosis (SIMPLIFY): results from two parallel, multicentre, open-label, randomised, controlled, non-inferiority trials. Lancet Respir. Med. 11, 329–340 (2023).
Diederich, S., Roos, N., Thomas, M. & Peters, P. E. Diagnostic imaging in bronchiectases. Value of CT and HRCT]. Radiology 36, 550–559 (1996).
Hansell, D. M. Bronchiectasis. Radio. Clin. North Am. 36, 107–128 (1998).
C., M. et al. The Measurement, Reporting, and Management of Radiation Dose in CT, https://www.aapm.org/pubs/reports/rpt_96.pdf (2008).
Loeve, M. et al. Cystic fibrosis: are volumetric ultra-low-dose expiratory CT scans sufficient for monitoring related lung disease? Radiology 253, 223–229 (2009).
Villanueva-Meyer, J. E. et al. Pediatric chest CT at chest radiograph doses: when is the ultralow-dose chest CT clinically appropriate? Emerg. Radio. 24, 369–376 (2017).
Oates, G. R. et al. Objective versus self-reported adherence to airway clearance therapy in cystic fibrosis. Respir. Care 64, 176–181 (2019).
Atkinson, M. J. et al. Validation of a general measure of treatment satisfaction, the Treatment Satisfaction Questionnaire for Medication (TSQM), using a national panel study of chronic disease. Health Qual. Life Outcomes 2, 12 (2004).
Morisky, D. E., Green, L. W. & Levine, D. M. Concurrent and predictive validity of a self-reported measure of medication adherence. Med. Care 24, 67–74 (1986).
Zweben, A., Piepmeier, M. E., Fucito, L. & O’Malley, S. S. The clinical utility of the Medication Adherence Questionnaire (MAQ) in an alcohol pharmacotherapy trial. J. Subst. Abus. Treat. 77, 72–78 (2017).
Birkett, M. A. & Day, S. J. Internal pilot studies for estimating sample size. Stat. Med. 13, 2455–2463 (1994).
Stanojevic, S. et al. ERS/ATS technical standard on interpretive strategies for routine lung function tests. Eur. Respir. J. 2101499. https://doi.org/10.1183/13993003.01499-2021 (2021).
Sly, P. D. et al. Risk factors for bronchiectasis in children with cystic fibrosis. N. Engl. J. Med. 368, 1963–1970 (2013).
Caudri, D. et al. A screening tool to identify risk for bronchiectasis progression in children with cystic fibrosis. Pediatr. Pulmonol. 57, 122–131 (2022).
Pillarisetti, N., Linnane, B., Ranganathan, S. & Arest, C. F. Early bronchiectasis in cystic fibrosis detected by surveillance CT. Respirology 15, 1009–1011 (2010).
de Jong, P. A. et al. Progression of lung disease on computed tomography and pulmonary function tests in children and adults with cystic fibrosis. Thorax 61, 80–85 (2006).
Lahiri, T. et al. Clinical practice guidelines from the cystic fibrosis foundation for preschoolers with cystic fibrosis. Pediatrics 137. https://doi.org/10.1542/peds.2015-1784 (2016).
Yankaskas, J. R., Marshall, B. C., Sufian, B., Simon, R. H. & Rodman, D. Cystic fibrosis adult care: consensus conference report. Chest 125, 1S–39S (2004).
de Jong, P. A. et al. Estimation of cancer mortality associated with repetitive computed tomography scanning. Am. J. Respir. Crit. Care Med. 173, 199–203 (2006).
de Jong, P. A., Long, F. R. & Nakano, Y. Computed tomography dose and variability of airway dimension measurements: how low can we go? Pediatr. Radio. 36, 1043–1047 (2006).
Diener, B. L., Huertero, F., Stables-Carney, T., Hoelzer, M. & Kier, C. A new era in cystic fibrosis care: always changing and adapting. Curr. Opin. Pediatr. 35, 603–610 (2023).
Sawicki, G. S., Sellers, D. E. & Robinson, W. M. High treatment burden in adults with cystic fibrosis: challenges to disease self-management. J. Cyst. Fibros. 8, 91–96 (2009).
Everhart, R. S. et al. Mental health and adherence in CF: self-efficacy and perceived barriers as mediators. J. Cyst. Fibros. 24, 334–340 (2025).
Bishay, L. C. & Sawicki, G. S. Strategies to optimize treatment adherence in adolescent patients with cystic fibrosis. Adolesc. Health Med Ther. 7, 117–124 (2016).
Basavaraj, A. et al. Severity of bronchiectasis predicts use of and adherence to high frequency chest wall oscillation therapy - Analysis from the United States Bronchiectasis and NTM research registry. Respir. Med. 223, 107555 (2024).
Acknowledgements
The authors would like to thank Dr. Michael Powers for project funding, Jackelin Diaz Scamarone for her assistance as a research coordinator, and the OHSU Biostatistics and Design Program for statistical mentorship.
Funding
Local university funding.
Author information
Authors and Affiliations
Contributions
Contributions to conception, design, analysis, and interpretation of the data: R.Z., A.P., K.M., and A.S. Drafting the article or revising it critically for important intellectual content: R.Z., A.P., K.M., and A.S. Final approval of the version to be published: R.Z., A.P., K.M., and A.S.
Corresponding author
Ethics declarations
Competing interests
The authors declare no competing interests.
Consent Statement
All participants in this study provided written informed consent prior to enrollment. For subjects under 18 years of age, written informed consent was obtained from a parent or legal guardian and assent was obtained from the minor.
Additional information
Publisher’s note Springer Nature remains neutral with regard to jurisdictional claims in published maps and institutional affiliations.
Rights and permissions
Springer Nature or its licensor (e.g. a society or other partner) holds exclusive rights to this article under a publishing agreement with the author(s) or other rightsholder(s); author self-archiving of the accepted manuscript version of this article is solely governed by the terms of such publishing agreement and applicable law.
About this article
Cite this article
Zhang, R., Phelps, A., MacDonald, K. et al. A pilot study of ultra-low-dose chest CT combined with co-production in cystic fibrosis care. Pediatr Res (2025). https://doi.org/10.1038/s41390-025-04379-1
Received:
Revised:
Accepted:
Published:
Version of record:
DOI: https://doi.org/10.1038/s41390-025-04379-1


