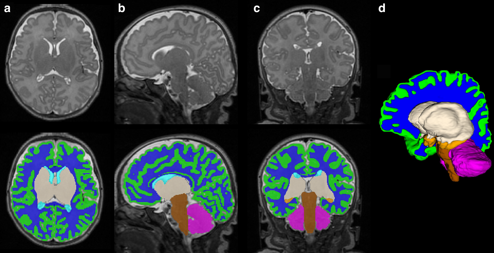
Fig. 1: Term equivalent volumetric segmentation images.
From: Donor human milk and structural brain development in very preterm infants

T2 brain MRI images with corresponding volumetric segmentation in the a axial, b sagittal, and c coronal planes with d 3D volumetric reconstruction. Green: cortical gray matter, blue: white matter, gray: deep gray matter, tan: amygdala-hippocampus, pink: cerebellum, brown: brainstem.