Fig. 2
From: Context-dependent AMPK activation distinctly regulates TAp73 stability and transcriptional activity

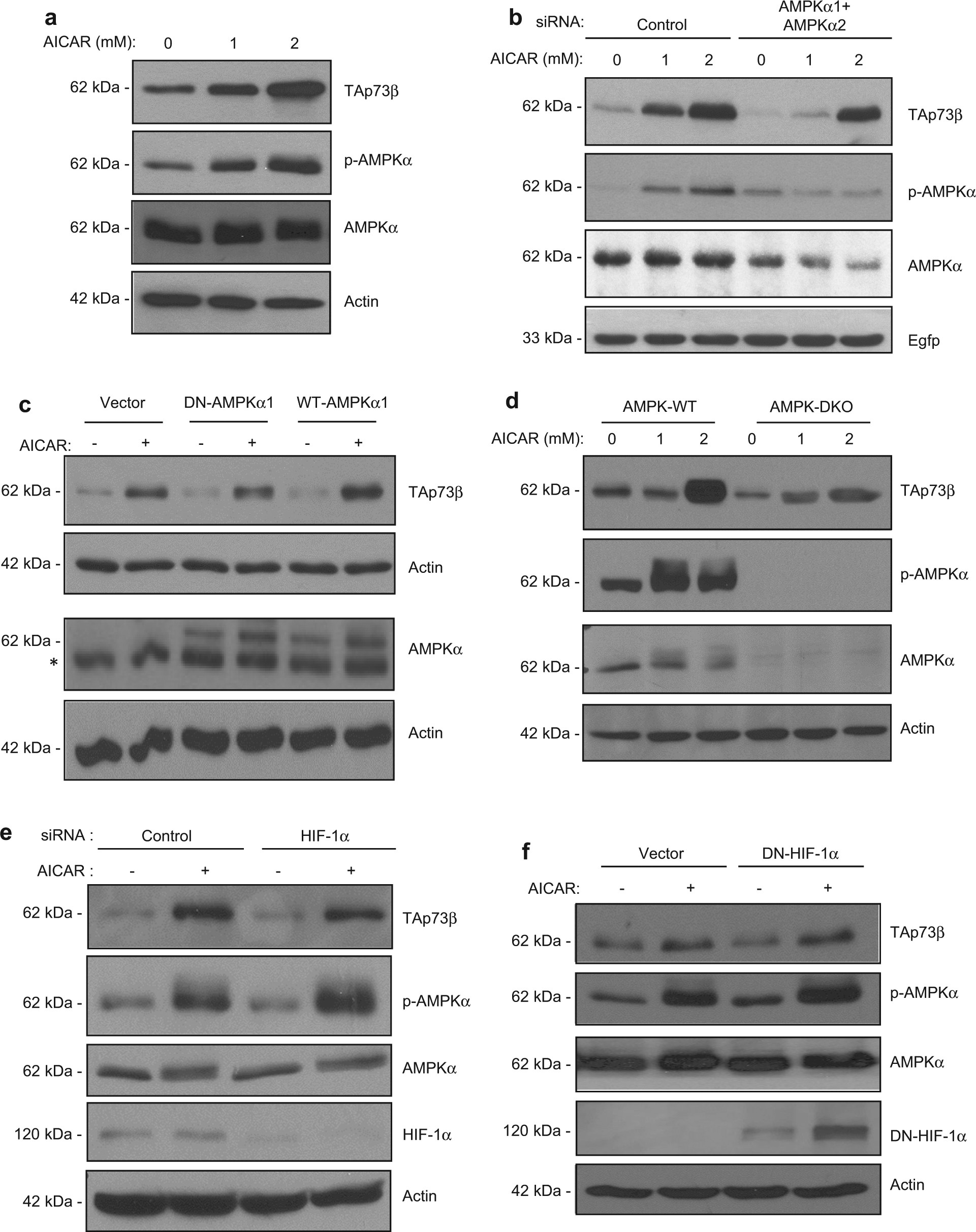
Direct AMPK activation by AICAR up-regulates TAp73 in a HIF-1α-independent manner. a–f H1299 cells were transfected with the Flag-TAp73β plasmid as described above and cells were treated with different concentrations of AICAR (a, b, d) or with 1 mM AICAR (c, e, f) for 24 h and lysates were used for IB. Control or AMPKα1/α2 siRNA (b); DN-AMPKα1 or WT-AMPKα1 plasmid (c); control or HIF-1α siRNA (e); and DN-HIF-1α plasmid (f) were transfected together with the Flag-TAp73β plasmid as indicated. AMPK-WT or AMPK-DKO MEFs were used in (d). *represent non-specific band. All immunoblotting experiments were repeated two to three times