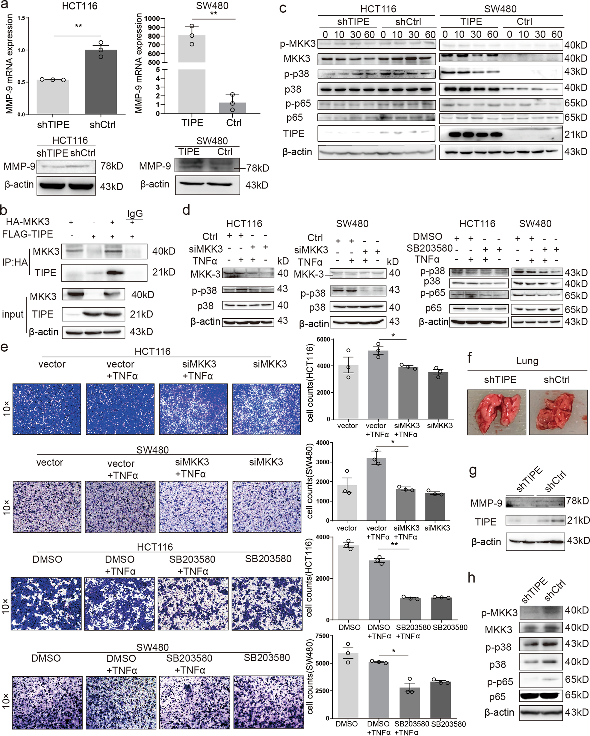
Fig. 1

a qRT-PCR and Western blot detection of MMP-9 mRNA and protein expression in TIPE-depleted HCT116 cells and TIPE-overexpressing SW480 cells. b Complex formation between TIPE and MKK-3 in cells. HEK293T cells were co-transfected with the expression plasmid for Flag-TIPE and HA-MKK-3, then whole-cell lysates were analyzed by co-immunoprecipitation. c TNF-α-mediated alteration of the phosphorylation levels of MKK-3/p38/NF-κB as examined by Western blotting. TIPE-depleted HCT116 cells (left panels) and TIPE-overexpressed SW480 cells (right panels) were exposed to TNF-α. At the indicated time points after the treatment, whole-cell lysates were analyzed by the indicated antibodies. d The effect of MKK-3 knockdown and the inhibitor for p38 on the phosphorylation level of p38/NF-κB in TIPE-depleted HCT116 and TIPE-overexpressed SW480 cells. e siRNA-mediated silencing of MKK-3 or the addition of p38 inhibitor (SB203580) attenuated cell invasion. Graphical representation of the cell invasion of the Transwell experiment described in the data. f Anatomy diagram of mice lung metastases. Scale bar, 2 mm. g TIPE and MMP-9 expressions in lung metastases were examined by Western blotting. β-Actin was used as an internal reference. h The effect of TIPE silencing on the phosphorylation levels of MKK-3, p38, and p65 was examined by Western blotting. β-Actin was used as an internal reference. *p < 0.05; **p < 0.01; (mean ± s.e.m. in three separate experiments)