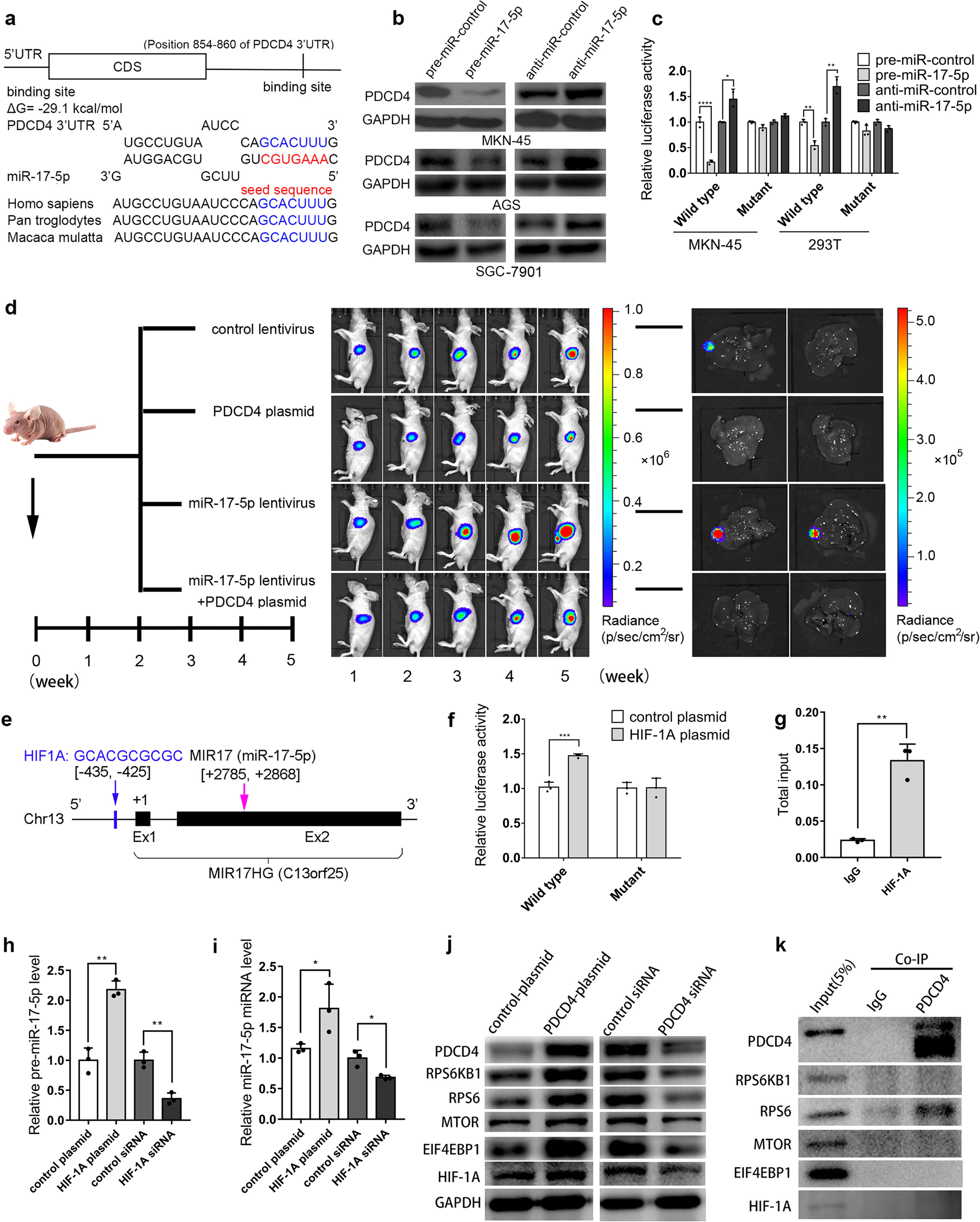
Fig. 1
From: The HIF-1A/miR-17-5p/PDCD4 axis contributes to the tumor growth and metastasis of gastric cancer

a Potential binding site of miR-17-5p at the PDCD4 3′UTR. b PDCD4 was negatively regulated by miR-17-5p in GC cells. c Relative luciferase activities in MKN-45 and 293T cells treated with pre-miR-17-5p or anti-miR-17-5p. d miR-17-5p promotes GC tumor growth and metastasis in vivo by targeting PDCD4. e Potential targeting of HIF-1A at the promoter region of miR-17-5p. f, g Luciferase reporter and ChIP assays: HIF-1A targets the promoter region of miR-17-5p. h, i HIF-1A increases the levels of pre-miR-17-5p and miR-17-5p. j PDCD4 enhances the expression of RPS6KB1, RPS6, MTOR, EIF4EBP1 and HIF-1A. k Co-IP assay: RPS6 binds with PDCD4. *P < 0.05; **P < 0.01; ***P < 0.001; ****P < 0.0001