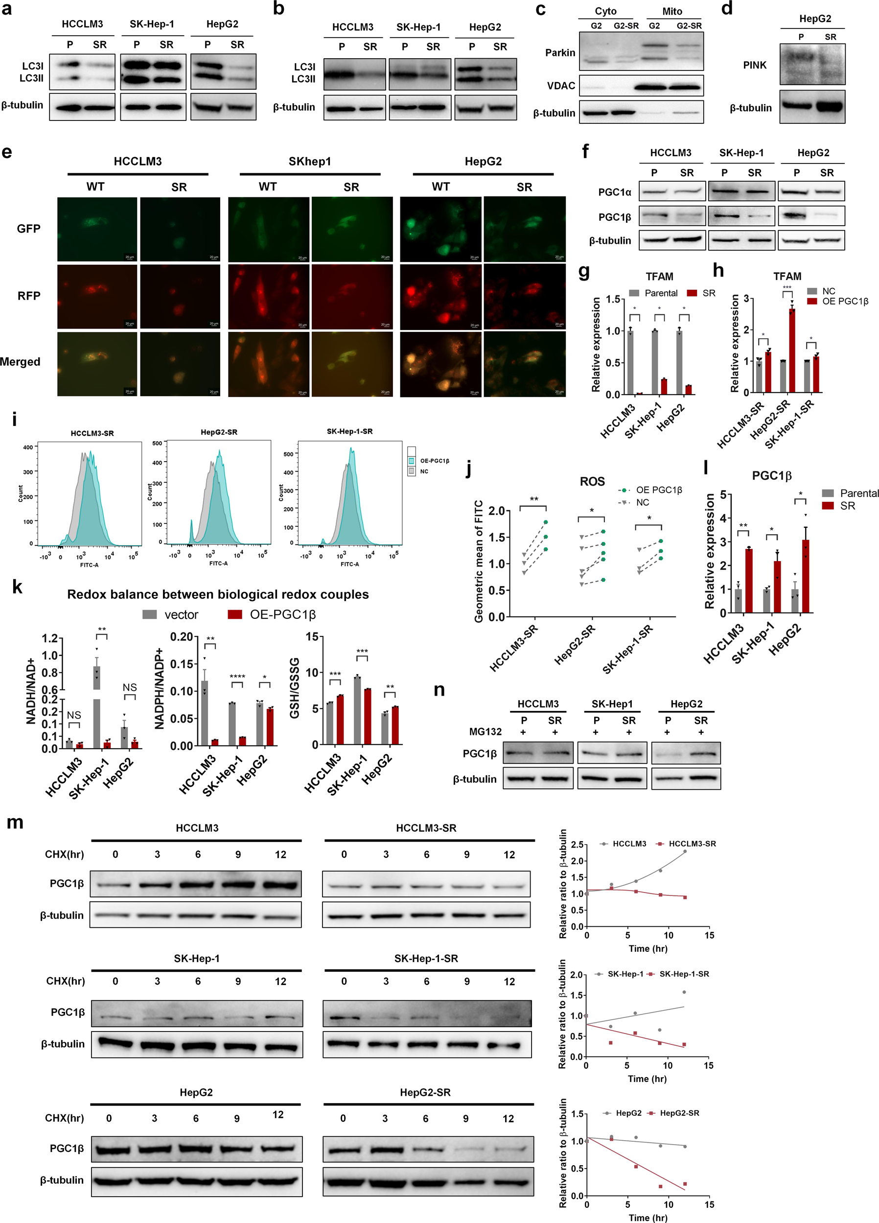
Fig. 3

Accelerated peroxisome proliferator-activated receptor γ coactivator 1β (PGC1β) degradation inhibits mitochondrial biogenesis and ROS generation in sorafenib-resistant cells. a WB analysis of LC3I and LC3II in parental and resistant cells with sorafenib treatment. b WB analysis of LC3I and LC3II in parental and resistant cells incubated with chloroquine (20 µM) 3 h prior to sorafenib treatment. c Parental and resistant HepG2 cells were treated with sorafenib. Mitochondria were fractionated and subjected to WB. WB analysis of Parkin, and VDAC showed higher levels of Parkin translocated into mitochondria in parental than resistant HepG2 cells. d WB analysis of PINK in parental and resistant HepG2 cells treated with sorafenib. e Cells were transfected with LC3-GFP-RFP to demonstrate autophagic flux. Fluorescence microscopy revealed the presence of more autophagic vacuoles in parental than resistant cells. f WB analysis of PGC1α and PGC1β in parental and resistant HepG2 cells with sorafenib treatment. g, h qRT-PCR assays determining the mRNA levels of mitochondrial transcription factor A (TFAM). i, j ROS levels were measured using a DCFH-DA probe via flow cytometry with or without PGC1β overexpression in resistant cells treated with sorafenib. k Redox balances between biological redox couples of GSH/GSSG, NADPH/NADP, and NAD/NADH were monitored in HCC cells with or without PGC1β overexpression. l qRT-PCR assays determining the mRNA levels of PGC1β in parental and resistant cells treated with sorafenib. m WB analysis of PGC1β in parental and resistant cells treated with sorafenib and CHX (100 µg/ml). n WB analysis analysis of PGC1β in parental and resistant cells treated with sorafenib and MG132(20 µM) for 3 h before being harvested. *p < 0.05, **p < 0.01, ***p < 0.001, and ****p < 0.0001. NS not statistically significant