Fig. 4
From: Targeting CRL4 suppresses chemoresistant ovarian cancer growth by inducing mitophagy

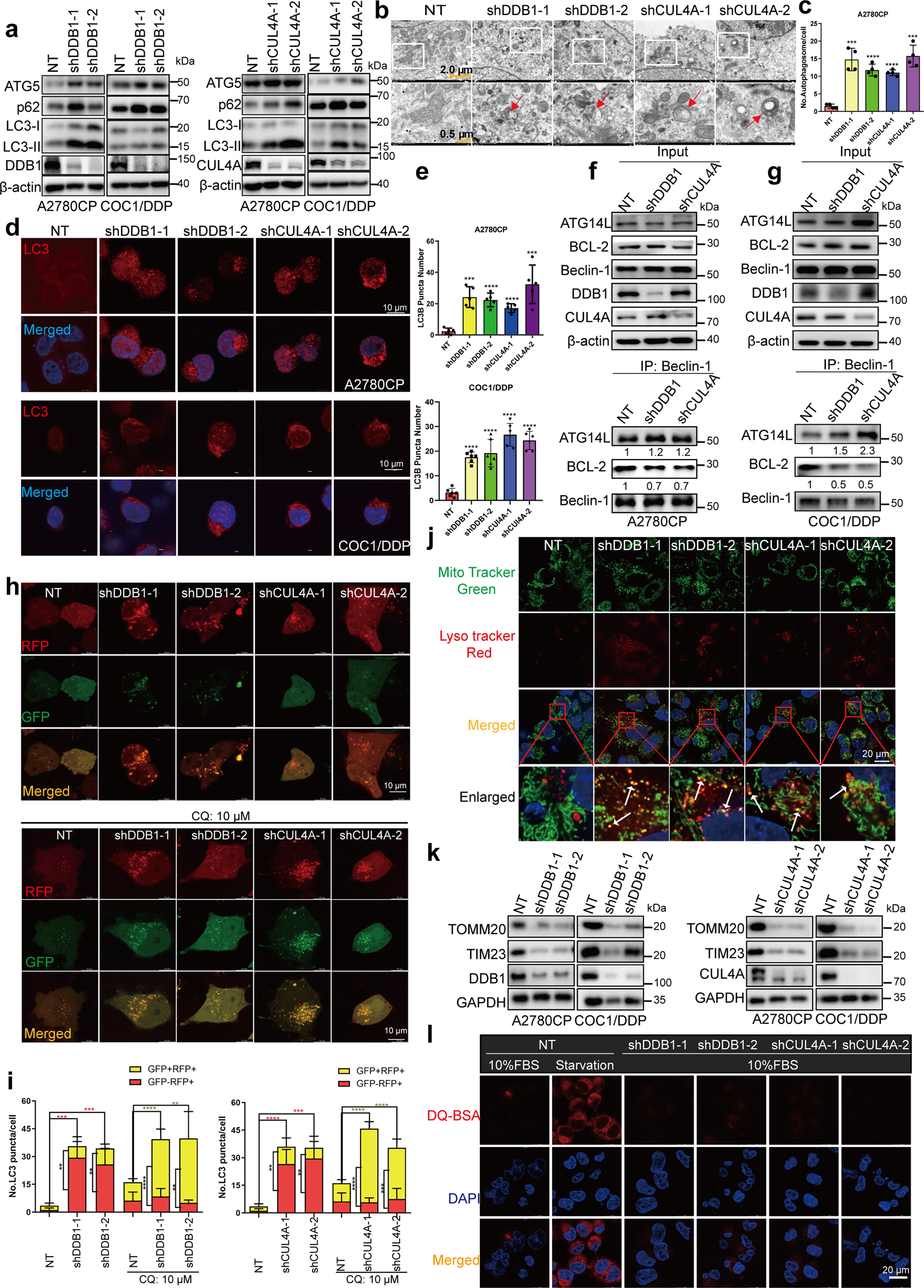
CRL4 knockdown induces autophagy in cisplatin resistance OCCs. a Immunoblotting analysis of LC3B, ATG5, and p62 expression in (left panel) A2780CP or (right panel) COC1/DDP cells with DDB1 or CUL4A knockdown. b Representative images of the transmission electron microscope in A2780CP cells treated as in (a). c Quantification of the LC3 puncta number in (b) (***p < 0.001, ****p < 0.0001, t-test). d Immunofluorescence analysis of LC3 in (upper panel) A2780CP and (lower panel) COC1/DDP cells with or without CRL4 knockdown. Scale Bar: 10 μm. e Quantification of autophagic vesicles in (d). Data represent mean ± SEM with three replicates, **p < 0.01, ***p < 0.001, ****p < 0.0001. f, g The interaction between BECN1 and BCL2, ATG14L was detected by Co-IP assay in f A2780CP and g COC1/DDP cells with CRL4 knockdown. h Immunofluorescence analysis of CRL4-knockdown A2780CP cells transiently transfected with tandem mRFP-GFP-tagged LC3B, followed by treatment with 10 μM chloroquine for another 24 h. Scale Bar: 10 μm. i Quantification of the ratio of autolysosome (AL, red puncta) versus autophagosome (AP, yellow puncta). *p < 0.05, **p < 0.01; ***p < 0.001, t-test. j Colocalization of mitochondria and autolysosomes analyzed by staining A2780CP cells with Lyso-Tracker Red and MitoTracker Green. Red indicates staining with Lyso-Tracker Red, green represents staining with MitoTracker Green, and yellow stands for the two colors merged together. Yellow puncta were counted as mitochondria having autolysosomes. White arrows indicate colocalization points. Scale bar: 10 μm. k Immunoblotting of mitochondrial outer membrane protein Tomm20 and inner membrane protein Tim23 in A2780CP or COC1/DDP cells transfected with lentivirus carrying shRNA targeting CUL4A (right panel) or DDB1 (left panel). GAPDH was used as a loading control for Tomm20, Tim23, DDB1, and CUL4A. Representative images were selected from three independent experiments. *p < 0.05, **p < 0.01; ***p < 0.001, t-test. l Representative images of CRL4 knockdown OCCs incubated with BODIPY-conjugated bovine serum (DQ-BSA, red) for 1 h, or with serum- and glucose-free medium (starvation). Scale bar: 20 μm