Fig. 4
From: Targeting PSAT1 to mitigate metastasis in tumors with p53-72Pro variant

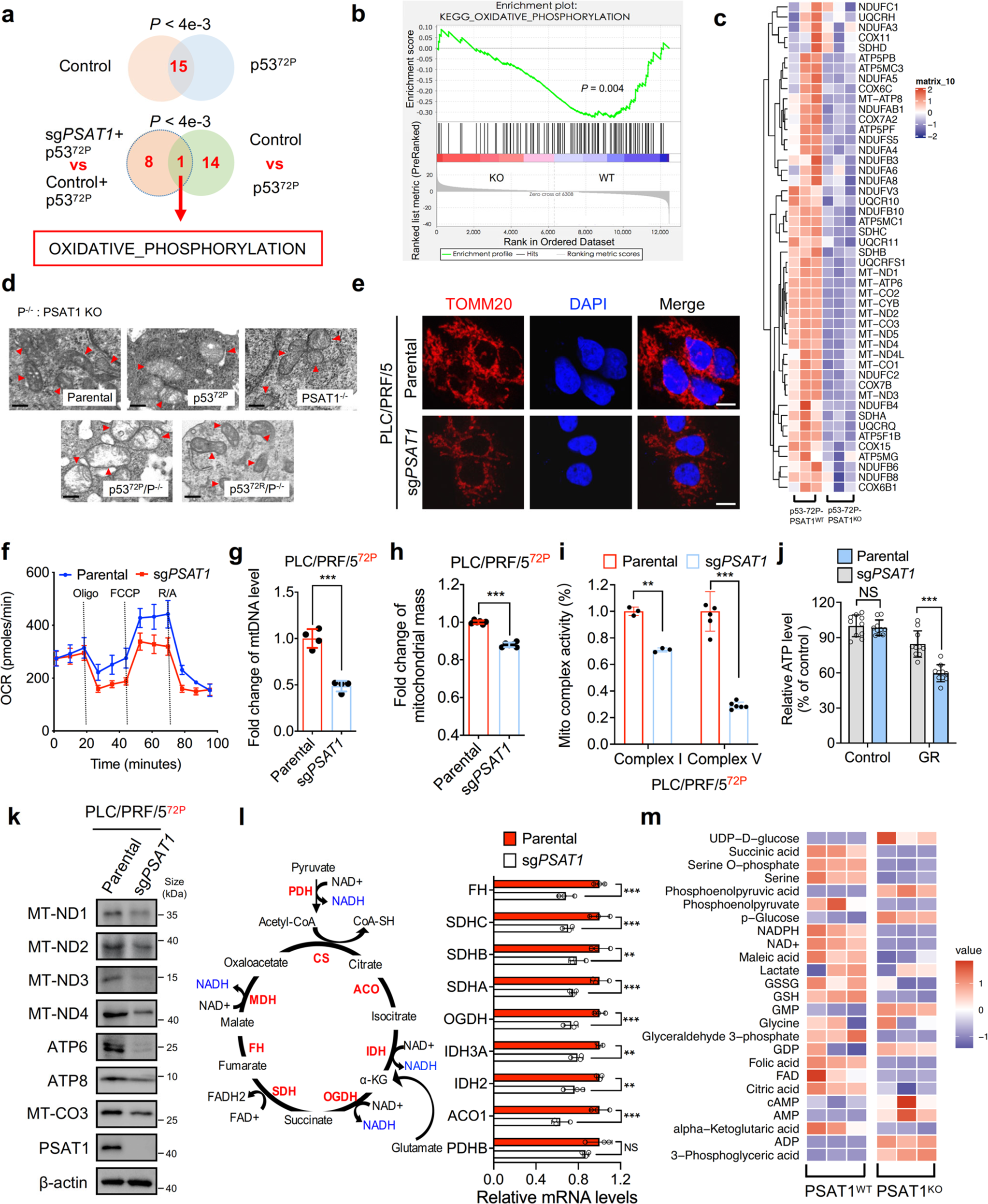
PSAT1 deficiency impedes oxidative phosphorylation in HCC cells containing p5372P. a Venn diagram showing the overlap of biological signaling pathways in parental or PSAT1 knockout Hep3B cells transfected with vector or p53-72P plasmids. 15 overlapped pathways (P < 0.004) were enriched in cells expressing vector and p53-72P, including TCA cycle, valine leucine and isoleucine degradation, type II diabetes mellitus, FC gamma R mediated phagocytosis, oxidative phosphorylation, TGF-β signaling pathway, Parkinsons disease, basal transcription factors, propanoate metabolism, glutathione metabolism, Alzheimers disease, glycolysis gluconeogenesis, drug metabolism cytochrome P450, epithelial cell signaling in helicobacter pylori infection, and cell cycle. b GSEA enrichment plot for oxidative phosphorylation in the comparison of Hep3B cells expressing p53-72P/PSAT1WT or p53-72P/PSAT1KO. c Heatmap for the expression of OXPHOS genes using the fragments per kilobase of transcript per million mapped reads (FPKM) value of RNA-sequence data of Hep3B cells expressing p53-72P/PSAT1WT or p53-72P/PSAT1KO (n = 3). d Representative TEM image showing the mitochondrial morphology of parental or PSAT1 knockdown Hep3B cells transfected with vector, p53-72P or p53-72R plasmids. Scale bars, 400 nm. e Immunofluorescence assays showing the intensity of TOMM20 in parental or PSAT1 knockout PLC/PRF/5 cells. Scale bars, 10 μm. f Oxygen consumption rate (OCR) (n = 3) analysis using parental or PSAT1 knockout PLC/PRF/5 cells. g Mitochondrial DNA (mtDNA) content relative to total cell protein content in PSAT1 knockout PLC/PRF/5 cells normalized to parental PLC/PRF/5 cells. h Mitochondrial mass content in PSAT1 knockout PLC/PRF/5 cells normalized to parental PLC/PRF/5 cells. i Mitochondrial respiratory chain complex I or V activity detection in parental or PSAT1 knockout PLC/PRF/5 cells. j ATP levels of parental or PSAT1 knockout PLC/PRF/5 cells treated with or without glucose restriction (GR). k Immunoblotting analysis of indicated proteins in parental or PSAT1 knockout PLC/PRF/5 cells. l Transcriptional levels of TCA-associated enzymes based on FPKM value. m Heatmaps of TCA metabolites in parental or PSAT1 knockout PLC/PRF/5 cells (n = 3). Data are means ± s.d. NS not significant, **P < 0.01, ***P < 0.001