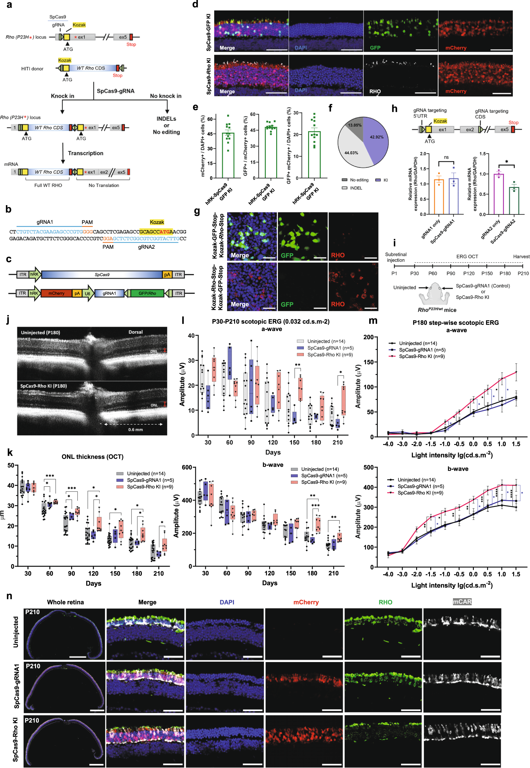
Fig. 1

Rescuing visual function of the RhoP23H/wt mice via 5′UTR rhodopsin gene integration mediated by CRISPR/Cas9. a Schematic representation of gene KI into 5′UTR Rho locus based on the HITI method. Green pentagon, SpCas9-gRNA targeted region; Black line within the pentagon, the cleaved site; Gray rectangle, exon; Yellow rectangle, Kozak sequence; Red rectangle, stop codon sequence; Red asterisk, P23H mutation; HITI donor, the Rho CDS flanked by two gRNA targeting sequences. b SpCas9-gRNA targeted sequences. Sequence in blue, the SpCas9-gRNAs targeting regions; Sequence in orange, PAM sequence; Region highlighted by yellow, Kozak sequence; Bold sequence labeled by red, ATG start codon. c Schematic of dual AAV vectors delivering SpCas9, mCherry, gRNA1, and GFP- or Rho-HITI donor into mouse retina. Both SpCas9 and mCherry reporter were driven by the hRK promotor. gRNA1 expression was driven by the U6 promoter. d Representative retinal sections of Rho−/− mice received GFP and Rho KI mediated by AAV8-SpCas9 and AAV8-gRNA1-GFP/Rho HITI donor. Scale bar, 50 μm. e Quantifications of AAV transduction efficiency (mCherry+/ DAPI + %), KI efficiency of the transduced cells (GFP+/mCherry+%), and KI efficiency of all photoreceptors (GFP + mCherry+/DAPI + %) in the retinal sections treated with GFP KI AAV vectors (n = 12). Only cells in the outer nuclear layer were counted. f NGS results showing allele frequencies of Rho knock-in (KI), INDEL, and no editing in the purified mCherry+ photoreceptor cells. g Representative images of 293 T cells transfected by Kozak-GFP-Stop-Kozak-Rho-Stop or Kozak-Rho-Stop-Kozak-GFP-Stop plasmid and stained for RHO. Scale bar, 50 μm. h qPCR results showing the Rho expression levels in the wild-type retinas with Rho 5′UTR or CDS INDELs by two different gRNAs. n = 3 retinas for all groups. A schematic representation of genome editing sites by the two gRNAs respectively was shown on the top. Green pentagon, gRNAs targeting 5′UTR or CDS of Rho; Black line within the pentagon, the cleaved site; Gray rectangle, exon; Yellow rectangle, Kozak sequence; Red rectangle, stop codon. i Experimental design of therapeutic efficacy test in the RhoP23H/wt mice. Eyes were untreated, treated with AAV8-SpCas9 + AAV8-mCherry-U6-gRNA1 (labeled as SpCas9-gRNA1), or treated with AAV8-SpCas9 + AAV8-mCherry-U6-gRNA1-Rho donor (labeled as SpCas9-Rho KI). j Representative OCT images of P180 RhoP23H/wt retinas that were untreated or treated with SpCas9-Rho KI. k ONL thickness of RhoP23H/wt retinas with different treatments from P30 to P210. l P30-P210 a- and b-wave amplitudes of rod scotopic ERG responses of control and treated RhoP23H/wt eyes under light intensity 0.032 cd.s.m−2. m a- and b-wave amplitudes of step-wise scotopic ERG responses of P180 RhoP23H/wt mice eyes by light intensity from −4.0 lg(cd.s.m−2) to 1.5 lg(cd.s.m−2). Black asterisks indicate significant differences between the untreated retinas and the retinas treated with SpCas9-Rho KI; blue asterisks indicate significant differences between the retinas treated with SpCas9-gRNA1 and SpCas9-Rho KI. n Representative retinal sections of RhoP23H/wt mice at P210. Sections were immunostained with anti-mCAR (cone marker, in white) and anti-RHO (rod marker, in green) antibodies. Scale bar in the left-most column: 500 μm. Scale bar in the other columns: 50 μm. Data are presented as mean ± s.e.m. ns. not significant, *P < 0.05; **P < 0.01; ***P < 0.001; ****P < 0.0001, by unpaired two-tailed Student t-test (h) and two-way ANOVA with Tukey post hoc test (k-m)