Fig. 6
From: Tumor heterogeneity in VHL drives metastasis in clear cell renal cell carcinoma

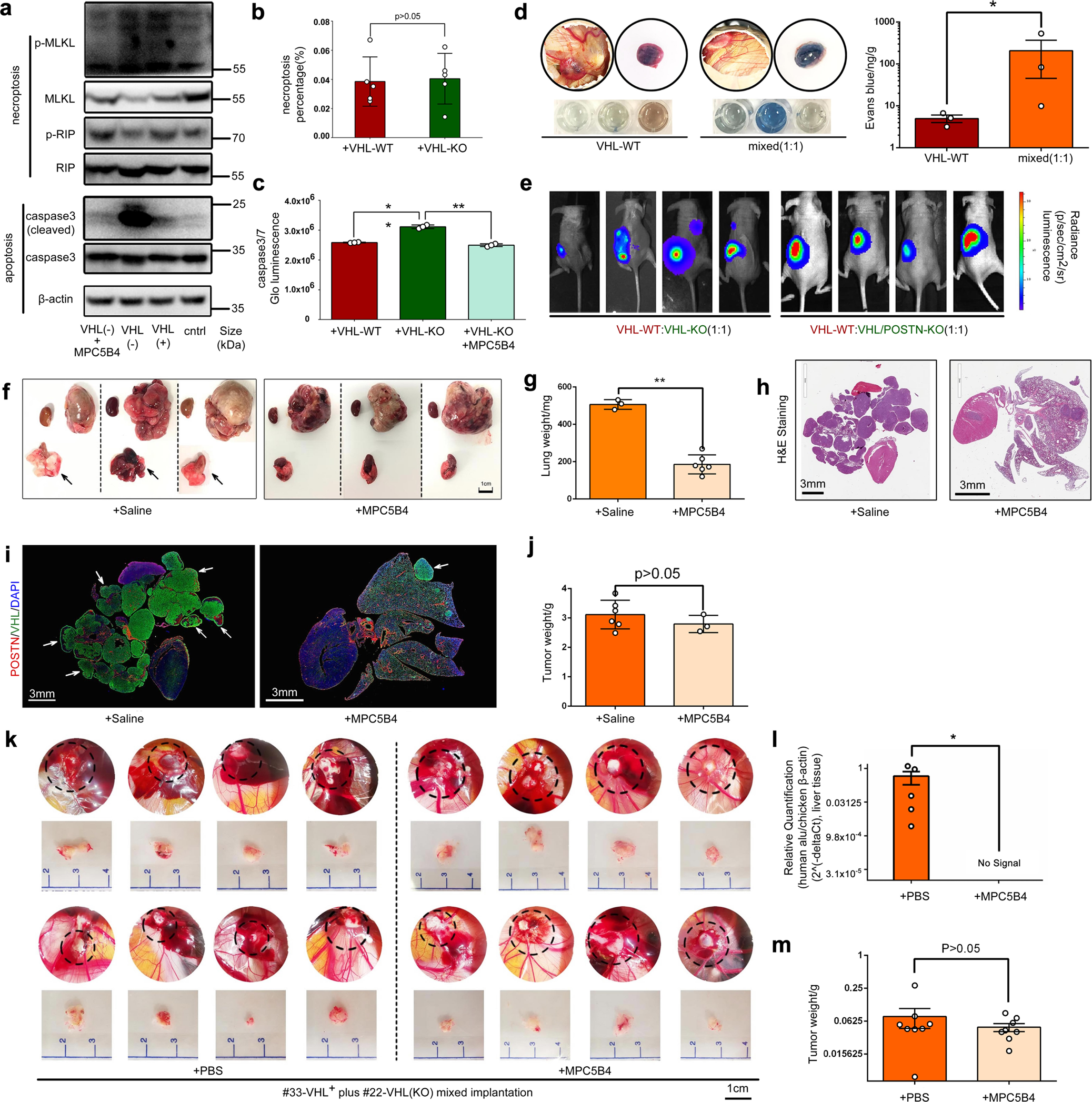
Blocking POSTN’s pro-metastatic activities, including vascular destruction, inhibited lung metastases. a HUVECs were co-cultured in a transwell setting with RC-VHL-WT (labeled “VHL (+)” here) or RC-VHL-KO (labeled “VHL(−)” here) cells without or with the anti-POSTN mAb MPC5B4. HUVECs were harvested after 48 h of culturing, and cell extracts were analyzed by western blot for necroptosis- and apoptosis-associated proteins. b HUVECs co-cultured with VHL-WT or VHL-KO cells for 48 h were assessed for necroptosis with a reporter assay by scoring the count of EthD-III(+) cells, which was normalized to the Hoechst 33342-positive nuclei count. c Apoptosis was evaluated with the Caspase-Glo 3/7 luminescence reporter assay in HUVECs co-cultured with VHL-WT cells, VHL-KO cells, or VHL-KO cells plus 1 µg/mL of anti-POSTN MPC5B4 mAb. d Tumor vascular leakage was assessed with the Miles assay on CAM tumors from VHL-WT cells or a 1:1 mixture of VHL-WT and VHL-KO cells. Evans Blue dye was injected intravenously into the chick embryo. The extent of tumor vascular leakage was scored by the amount of dye that leaked into the tumor. e Mice received intrarenal implantation of 1 × 10^6 total cells consisted of 1:1 mixture of RC-VHL-WT cells and RC-VHL-KO cells, or a 1:1 mixture of RC-VHL-WT and RC-VHL/POSTN-KO cells. BLI at 4 weeks post-implantation is shown. f Mice that received renal implantation of a 1:1 mixture of RC-VHL-WT and RC-VHL-KO cells were treated with either control IgG or anti-POSTN MPC5B4 mAb (n = 6). Scale bar: 1 cm. g Primary tumors and lungs harvested at 4 weeks post-implantation are shown with lung weights. h H&E stain of lung lobes and heart from control- or MPC5B4-treated tumor-bearing animals. Scale bar: 3 mm. i IF stain for POSTN in red, VHL in green, and DAPI in blue of the same tumor sections in (h). White arrows indicate selected lung metastases. Scale bar: 3 mm. j primary tumor weights for each group are shown. k Gross view of the primary tumor on CAM treated with either control or MPC5B4, and tumors were established from mixed implantation of the primary cell line from case #22 and its VHL-KO counterpart. Scale bar: 1 cm. The qRT-PCR relative quantification of the chicken liver metastasis is shown in (l), and the primary tumor weight analysis is shown in (m) as mean ± SEM. Student t-test was used in (b) and (d) with triplicate repeats, in (g), (j) and (l) with n = 6 (“no signal” sample dots not shown, Ct threshold set at 30), as well as in (m) with n = 8. One-way ANOVA was used in (c) with triplicate repeats. All results mentioned above except (l) and (m) are presented with mean ± SD. (*P < 0.05, **P < 0.01)