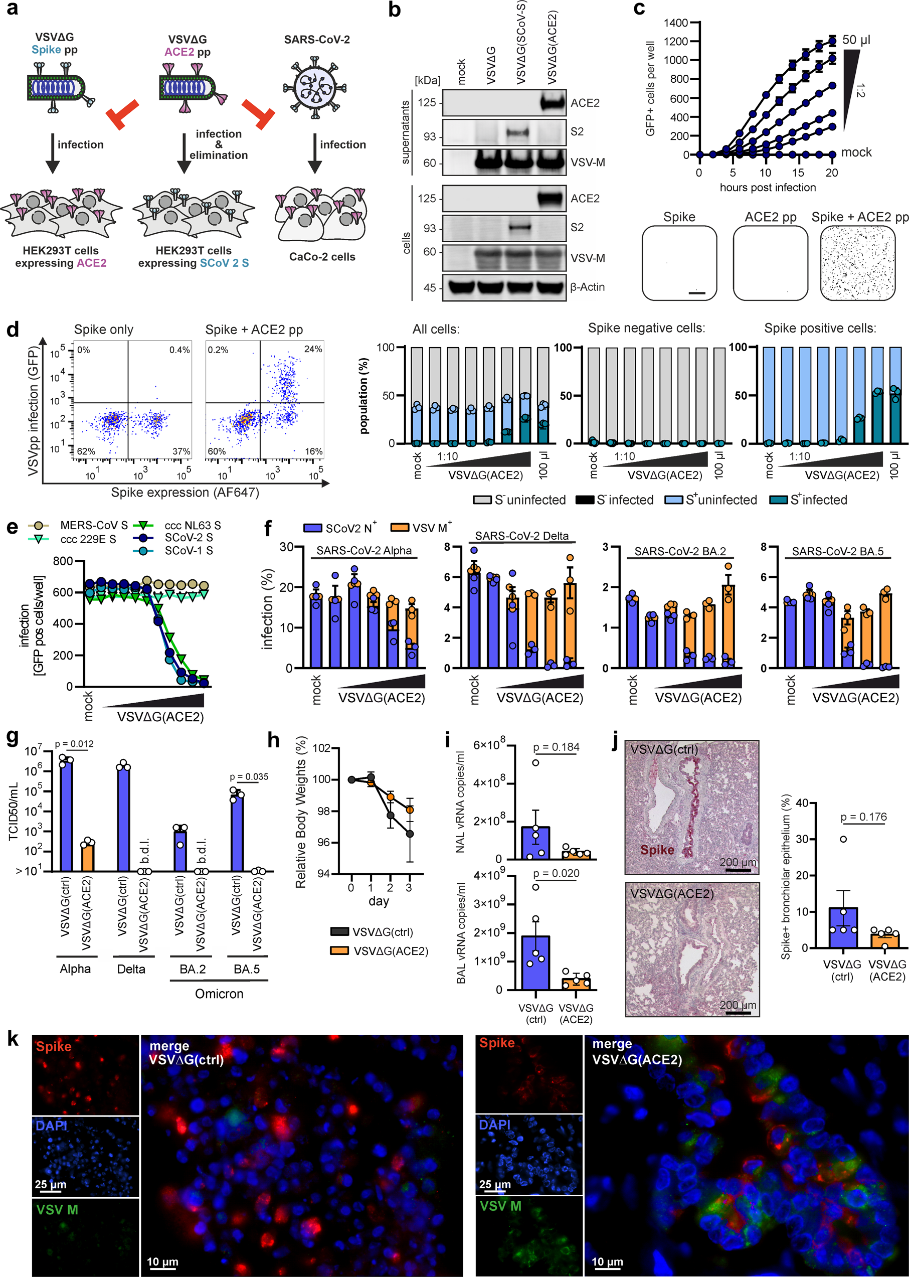
Fig. 1

Inhibition of SARS-CoV-2 and specific targeting of Spike-expressing cells by VSVΔG-ACE2 pseudo-particles. a Schematic representation of a VSVΔG-ACE2 particle, selectively infecting SARS-CoV-2 Spike+ cells, while blocking Spike-mediated infection of pseudo-typed and wt virus. b Exemplary immunoblots of whole cells lysates (WCLs) and VSVpp containing supernatants of HEK293T cells transfected with vectors expressing the SARS-CoV-2 Spike or ACE2 proteins and infected with VSVΔG-GFP. Blots were stained with anti-ACE2, anti-Spike, anti-ß-actin, and anti-VSV-M antibodies. c, Infection kinetics of Spike+ HEK293T cells inoculated with the indicated volumes of VSVΔG-ACE2. Infected GFP+ cells were automatically quantified over a period of 20 h (upper panel). Binary images of HEK293T cells transduced with VSVΔG-ACE2, transfected with SARS-CoV-2 Spike, or both (lower panel). Infection events (i.e. GFP+ cells) are displayed as black dots. d Exemplary gating to detect Spike expressing and VSVΔG infected HEK293T cells (left panel). FACS analysis of Spike expressing HEK293T cells infected with increasing amounts of VSVΔG-ACE2 (right panel). Shown are the percentages of VSVΔG-ACE2 infected cells in the total, Spike-negative and Spike-positive cell population. e Infection of Caco-2 cells with VSVΔG-GFP pseudotyped with the indicated coronavirus Spike proteins. Spike-carrying VSVpp were pre-treated (30 min, 37 °C) with VSVΔG-ACE2 in the ratios 1:3, 1:2 and 1:1 to 1:10−7 in 10-fold dilution steps. f Inhibition of genuine SARS-CoV-2 strains by VSVΔG-ACE2. Caco-2 cells were inoculated with SARS-CoV-2 NL-02-2020, Delta and Omicron (MOI 0.05) variants pre-treated with VSVΔG-ACE2 at the ratios 1:3, 1:2, 1:1 and 1:0.1. Two days after infection, the cells were harvested, stained with anti-Spike Ab and analysed by FACS. g Infectious SARS-CoV-2 particles in the supernatants of Caco-2 cells infected with mock or VSVΔG(ACE2)pp-treated SARS-CoV-2. The samples correspond to the cultures treated with naked control VSVΔG particles or the highest concentration of VSVΔG(ACE2)pp treated cultures shown in panel f. TCID50 was determined by infection of Caco-2 cells as described in the methods section. b.d.l, below detection limit. (n = 3, ± SEM; p-values were determined using a two-tailed Student’s t test with Welch’s correction. h, Relative body weights of Syrian gold hamsters following infection with SARS-CoV-2 Delta and administration of control or VSVΔG-ACE2. i, Viral RNA loads in nasal and bronchoalveolar lavages (NAL and BAL) of control or VSVΔG-ACE2 treated hamsters three days post-infection with the SARS-CoV-2 Delta variant. j, Lung histology of SARS-CoV-2 delta infected Syrian gold hamsters treated with control or VSVΔG-ACE2. SARS-CoV-2 Spike (red) and hematoxylin (blue) (left panel) and quantification of the corresponding Spike expression (right panel). k Fluorescence immunohistology of the lung of SARS-CoV-2 Delta infected Syrian gold hamsters treated with control (left panel) or VSVΔG-ACE2 (right panel) and stained for Spike and VSV M protein expression