Fig. 5
From: Tauopathy promotes spinal cord-dependent production of toxic amyloid-beta in transgenic monkeys

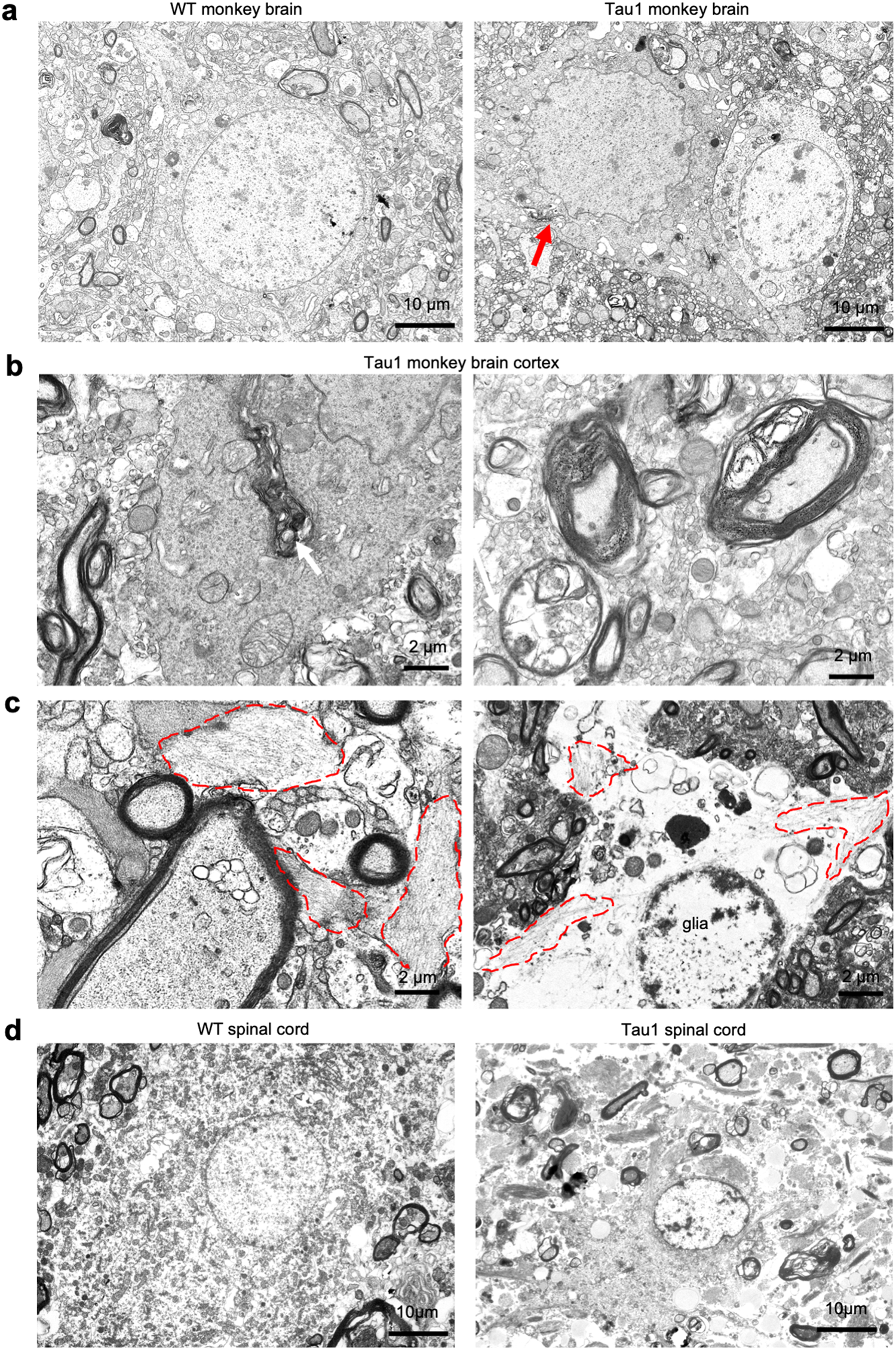
Electron microscopic micrographs of 3-year-old Tau1 monkey brains. a The prefrontal cortex of wild-type (WT) monkey contains a neuron showing the clear nuclear membrane and cytoplasmic profiling. The prefrontal cortex in Tau1 monkey showing a dark neuron (red arrow) next to a normal neuron. The dark neuron displays a shrunken appearance, an irregular nucleus without clear ultrastructure, indicating degeneration. b In the degenerated dark neuron, degenerated organelles (arrow) without clear profiling are present. In the Tau1 prefrontal cortex, demyelinated axon containing degenerated organelles is evident. Other axons show reduced myelin layers or defective myelin sheath. c Neurofibrillary tangles (NFT) enclosed by red dashed lines are visible in a neuron (left) in Tau1 monkey’s hippocampus. In an enlarged microglia-like cell (right), Tau filaments in the areas outlined with red dashed lines are present. The nuclear membrane is not intact and becomes thin. A glial cell is indicated. d The spinal cord of wild type (WT) monkey contains a neuron that shows the clear nuclear membrane and cytoplasmic profiling but the spinal cord of Tau1 monkey contains atrophic neurons, indicating degeneration