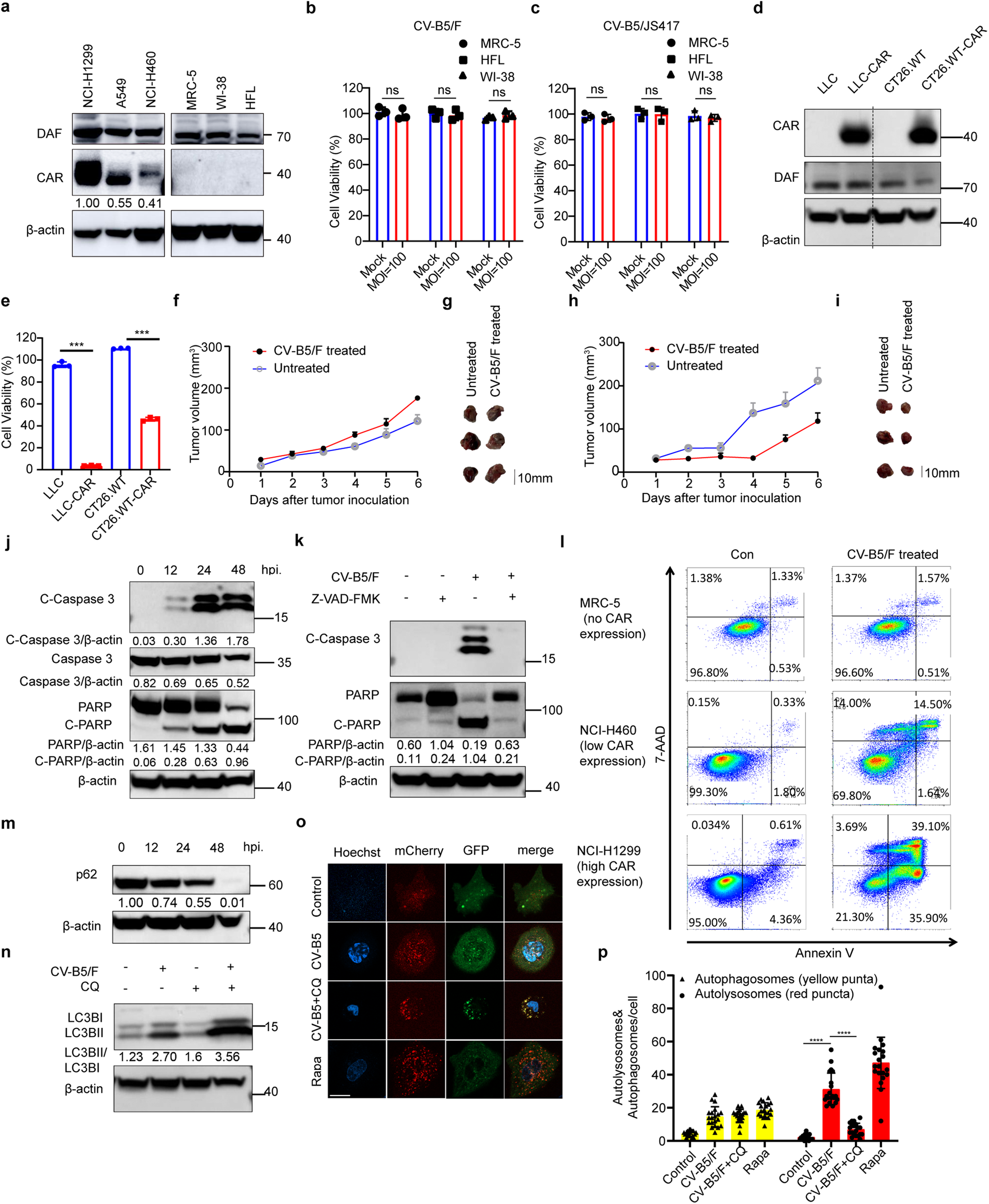
Fig. 2

Expression profile of CAR and DAF on normal lung and cancer cells and its correlation with CVB5-mediated cytotoxicity. a Expression of CAR and DAF on normal lung cells (MRC-5, WI-38, and HFL) and NSCLC cells analyzed by western blot. Gray value ratios to the first lane of CAR were shown. b, c Normal lung cells infected with CV-B5/F (b) or CV-B5/JS417 (c) at 100 MOI and analyzed at 48 h for cell viability by CCK8 assay (n = 3). Each value represents the mean ± deviation. d Expression of CAR and DAF on wild-type or CAR over-expressing mouse Lewis lung cancer (LLC; LLC-CAR) and colorectal carcinoma (CT26.WT; CT26.WT-CAR). e LLC, LLC-CAR, CT26.WT, CT26.WT-CAR infected with CV-B5/F at 10 MOI was analyzed at 48 h for cell viability by CCK8 assay (n = 3). Each value represents the mean ± standard deviation. f–i LLC (f, g) or LLC-CAR (h, i) were subcutaneously injected into the axillia of C57BL/6 mice. Each mouse received 5 doses of CV-B5/F or with MEM intratumorally. Tumor were measured every day and anatomized ultimately (n = 3). j NCI-H1299 infected with CV-B5/F (MOI = 0.01) were analyzed at different time points. Each cellular lysate obtained was subjected to immunoblot analysis. Full-length PARP (116 kDa), cleaved-PARP (85 kDa), full-length caspase 3 (35 kDa) and cleaved-caspase 3 (17/19 kDa) were shown. hpi, hours post infection. k NCI-H1299 pretreated with 100 µM Z-VAD-FMK or MOCK and incubated with MEM or CV-B5/F at 0.01 MOI were subjected to immunoblot analysis. Full-length PARP (116 kDa), cleaved-PARP (85 kDa), and cleaved-caspase 3 (17/19 kDa) were shown. l NCI-1299, NCI-H460, and MRC-5 were infected with 1 MOI CV-B5/F for 24 h. Apoptotic population was represented as Annexin V +/7-AAD- or Annexin V+/7-AAD+ cells. m NCI-H1299 infected with CV-B5/F (MOI = 0.01) were analyzed at 0, 12, 24, and 48 h. p62 (62 kDa) was detected for the whole cell lysis (WCL). n NCI-H1299 was pretreated with 100 μM CQ for 2 h, and then treated with 0.01 MOI CV-B5/F for 24 h. LC3B (14/16 kDa) was detected for the WCL. o, p NCI-H1299 was transfected with mcherry-GFP-LC3B for 24 h, and then treated with 0.01 MOI CV-B5/F with or without 100 μM CQ (10 μM Rapamycin as positive control). Autophagosomes display both GFP and mCherry fluorescence (yellow-green), whereas autolysosomes display only mCherry fluorescence (red) because GFP is denatured by the acidity of the lysosome (o). Number of autophagosomes and autolysosomes were enumerated for at least 20 cells (n = 20, p). One-way ANOVA was used to analyze the data. ***P < 0.001, ****P < 0.0001, ns, not significant. Scale bars, 10 μm