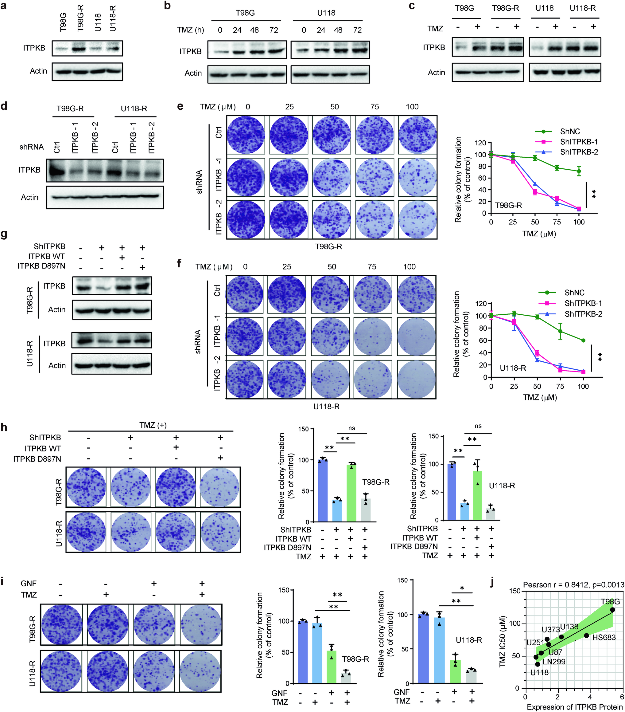
Fig. 2

ITPKB-mediates TMZ sensitivity in GBM cells dependent on its kinase activity. a The expression of ITPKB was assessed in TMZ-sensitive (T98G, U118) and resistant (T98G-R, U118-R) cells using Western Blot. b T98G and U118 cells were treated with TMZ for indicated durations, and the cell lysates were blotted with specified antibodies. c After 48 h of TMZ treatment, lysates were collected from both TMZ-sensitive (T98G, U118) and resistant (T98G-R, U118-R) cells. Subsequently, these cell lysates were blotted with the indicated antibodies. d Construction of ITPKB-depleted TMZ-resistant glioma cell lines involved the transduction of T98G-R and U118-R cells with lentivirus encoding control (Ctrl) or ITPKB shRNAs. Cell lysates were then blotted with the specified antibodies. e, f Glioma cells from d were subjected to treatment with indicated doses of TMZ (0, 25, 50, 75, 100 μM) for 10-15 days. Cell survival was determined by colony formation assay. Error bars represent ± SD from three independent experiments. g TMZ-resistant glioma cells stably expressing Ctrl or ITPKB shRNA-1 were transiently transfected with the wild-type (WT) and kinase-dead mutant D897N of ITPKB. Subsequently, the cells were lysed, and Western blot analysis was performed using the specified antibodies. h Glioma cells from g were treated with 100 μM TMZ for 10–15 days, and cell survival was determined by colony formation assay. Error bars represent ± SD from three independent experiments. i TMZ-resistant glioma cells were treated with 20 μM GNF362 and/or 25 μM TMZ, and cell survival was determined by colony formation assay. Error bars represent ± SD from three independent experiments. j The expression of ITPKB in glioma cell lines (U251, U87, U118, U373, U138, LN299, HS683, and T98G) was assessed by western blot, and IC50 of each cell line was calculated after the addition of gradient concentration of TMZ for 96 h. The correlation between ITPKB expression and IC50 was analyzed by Pearson’s test in a panel of glioma cell lines. Statistical significance is indicated as: *p < 0.01, **p < 0.001, ns nonsignificant