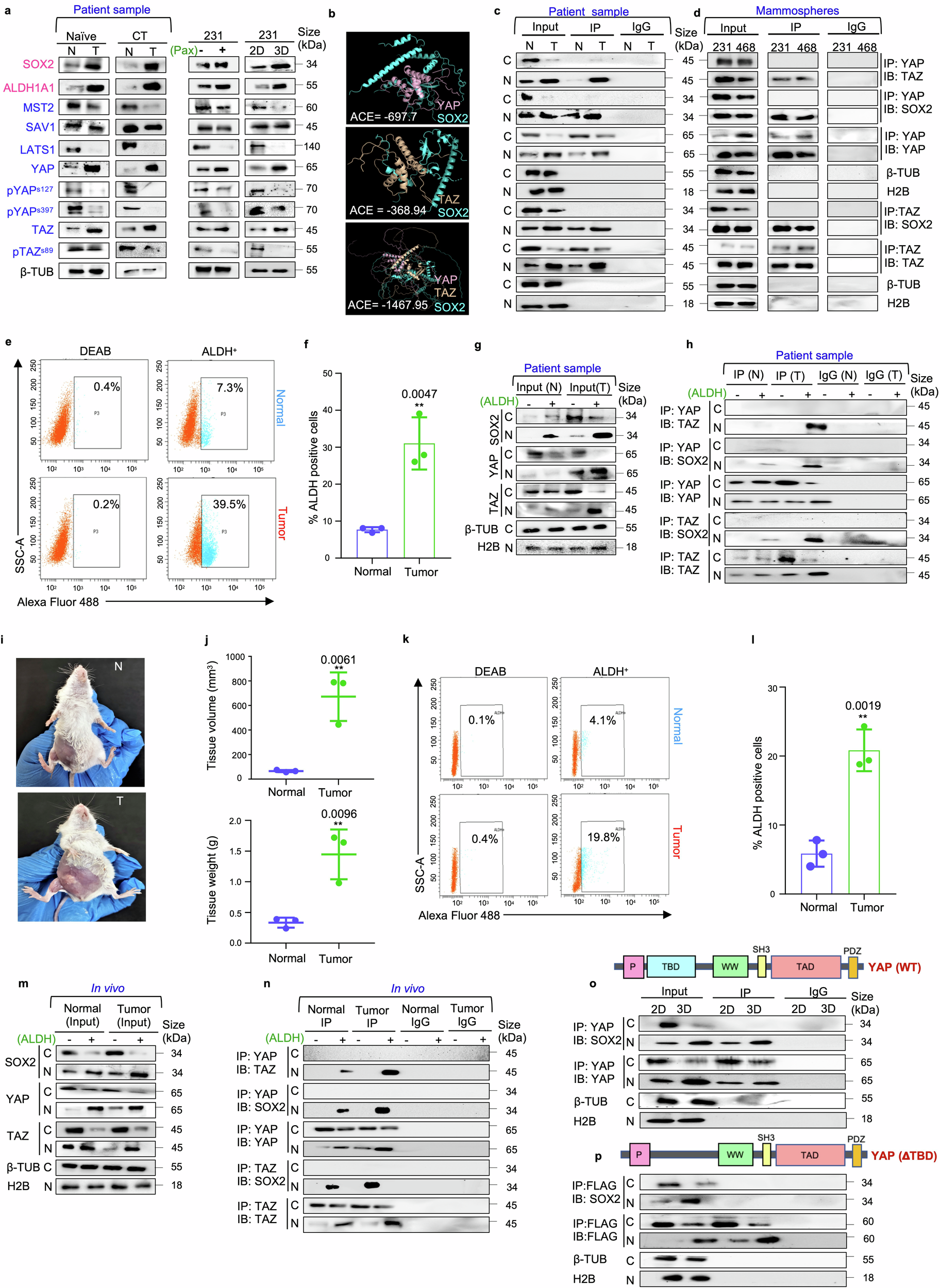
Fig. 1

YAP/TAZ transcriptional co-activators interact with SOX2 transcription factor in triple negative breast cancer. a Western blot representations depicting the expression of the markers related to the Hippo signaling pathway and stemness in naïve (n = 10), chemo-treated patient breast tumors (n = 10), paclitaxel-treated MDA-MB-231 cells (n = 3) and MDA-MB-231 mammospheres (n = 3) in comparison to adjacent normal breast tissue, untreated MDA-MB-231 cells and adherent culture of MDA-MB-231 respectively. Markers associated with stemness are indicated in pink, while markers related to the Hippo signaling pathway are denoted in blue. b Molecular docking model depicting the SOX2/YAP, SOX2/TAZ and SOX2/YAP/TAZ complexes. c Co-immunoprecipitation (Co-IP) analyses using either control IgG or antibodies against YAP and TAZ. Western blot analyses were performed to analyse differential interaction pattern in the cytoplasm and nucleus of patient breast tumors in comparison to their adjacent normal (n = 5) d Co-immunoprecipitation (Co-IP) analyses using either control IgG or antibodies against YAP and TAZ. Western blot analyses were performed to analyse differential interaction pattern in the cytoplasm and nucleus of mammospheres (n = 3). e Gating strategy for flow cytometry-based isolation of ALDH+ and ALDH− cell population from patient breast tumors and respective adjacent normal tissues (n = 3). f Graphical representation of ALDH activity in patient breast tumors compared to their respective adjacent normal tissues (n = 3). g Western blot analyses depicting the expression of SOX2, YAP and TAZ in cytoplasm and nucleus of ALDH+ and ALDH− cell population (n = 3). h Co-immunoprecipitation experiments using either control IgG or anti-YAP/anti-TAZ antibodies, followed by western blot analyses in the ALDH+ and ALDH− cells isolated from patient breast tumors and respective adjacent normal tissues (n = 3). i Female BALB/c mice were inoculated with 1 × 104 4T1 cells and allowed to develop tumors for 14 days. The control group received vehicle control treatment for the same duration. After the incubation period, j Volume and weight of mammary tissues of both the group of mice were assessed and compared (n = 3). k Gating strategy for flow cytometry-based isolation of ALDH+ and ALDH− cell population from normal mammary tissue and 4T1-induced mammary tumor-bearing mice (n = 3). l Graphical representation of ALDH activity in normal mammary tissue and 4T1-induced mammary tumor-bearing mice (n = 3). m Western blot analyses depicting the expression of SOX2, YAP and TAZ in cytoplasm and nucleus of ALDH+ and ALDH− cell population (n = 3). n Co-immunoprecipitation experiments using either control IgG or anti-YAP/anti-TAZ antibodies, followed by western blot analyses in the ALDH+ and ALDH− cells isolated from normal and 4T1- induced mammary tumor bearing mice (n = 3). o Co-immunoprecipitation experiments using either control IgG or anti-YAP antibodies, followed by western blot analyses in the adherent and mammosphere culture of MDA-MB-231 (n = 3). p YAP deletion mutant (ΔTBD) was transfected into MDA-MB-231 adherent cells and mammospheres. Co-immunoprecipitation experiments were performed with anti-FLAG antibody and immunoblots were probed with anti-SOX2 or anti-FLAG antibodies (n = 3). Cytosolic and nuclear protein expressions were normalized against β-tubulin and H2B respectively. The data are presented as the mean ± standard deviation (SD), with “n” representing the number of biological replicates per experimental group. Significance was assessed using an unpaired Student’s t-test, and the associated two-tailed p-value is indicated in the bar plots. Compared to the control group: **p < 0.01. N Normal, T Tumor, CT Chemo-treated, 2D Adherent cells, 3D Mammospheres, 231, MDA-MB-231; ACE Atomic contact energy, C Cytoplasm, N Nucleus, β-TUB β-tubulin, 3D, Mammospheres IP Immunoprecipitate, IB Immunoblot, ALDH Aldehyde dehydrogenase, BAAA BODIPY-aminoacetaldehyde, BAA BODIPY-aminoacetate