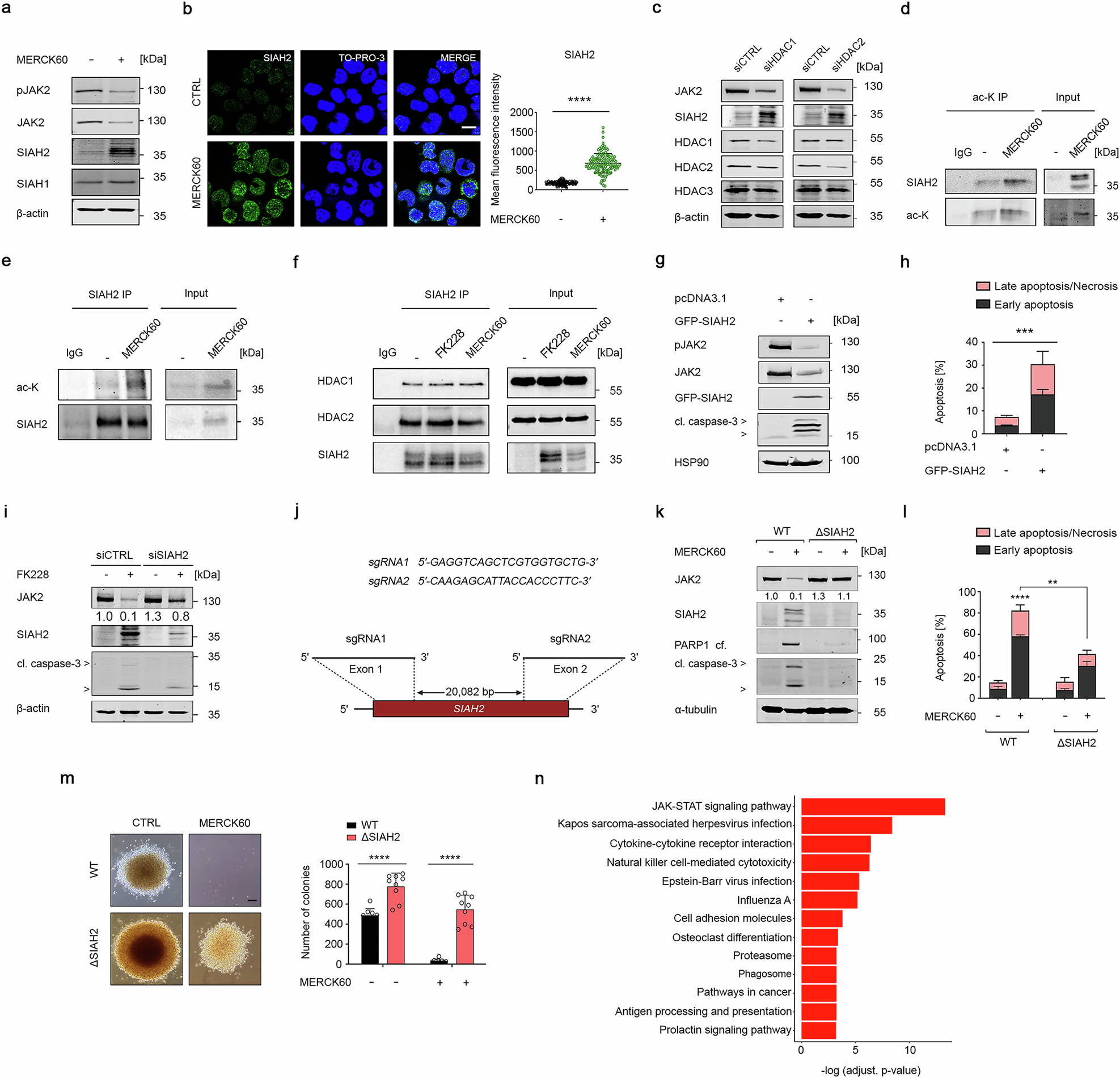
Fig. 3
From: The deacetylases HDAC1/HDAC2 control JAK2V617F-STAT signaling through the ubiquitin ligase SIAH2

Targeting HDAC1 and HDAC2 induces SIAH2-mediated degradation of JAK2V617F signaling. a HEL cells were incubated with 5 μM MERCK60 for 24 h. The cells were lysed, and the indicated proteins were analyzed by immunoblotting; β-actin served as a loading control. b HEL cells were treated with MERCK60 as described in (a), fixed, and stained for SIAH2. TO-PRO-3 was used to visualize the nuclei. The cells were examined via confocal laser scanning microscopy. Representative images are shown; n = 3; scale bar, 10 µm (left panel). The mean fluorescence intensities were measured with ImageJ software (right panel). c HEL cells were transfected with siRNAs against HDAC1 or HDAC2 for 48 h. Immunoblotting was used to verify the reduction in HDACs and the specificity of the siRNAs. Levels of JAK2V617F and SIAH2 were detected by immunoblotting; β-actin served as a loading control. d HEL cells were treated with 5 μM MERCK60 for 48 h. Immunoprecipitates with anti-pan-acetylated lysine (ac-K) antibody or rabbit preimmune serum (IgG) were analyzed for SIAH2 by immunoblotting. e K562 cells were treated as described in (d), and immunoprecipitates with an anti-SIAH2 antibody or mouse preimmune serum (IgG) were analyzed for pan-acetylated lysine (ac-K) by immunoblotting. f HEL cells were treated with 5 nM FK228 or 5 μM MERCK60 for 48 h. Immunoprecipitates with anti-SIAH2 antibody or mouse preimmune serum (IgG) were analyzed for interaction with HDAC1 and HDAC2 by immunoblotting. g HEL cells were transfected with pcDNA3.1 or pcDNA3.1-GFP-SIAH2 plasmids for 48 h. Immunoblotting was used to verify the expression of JAK2V617F, GFP-SIAH2, and cleaved caspase-3; HSP90, loading control. h HEL cells were transfected as described in (g), stained with annexin-V-FITC/PI and analyzed for apoptosis via flow cytometry. i HEL cells were transfected with siRNAs against SIAH2 for 48 h. Immunoblotting was used to verify the depletion of SIAH2. The levels of JAK2V617F and cleaved caspase-3 were detected by immunoblotting; β-actin served as a loading control. j Exon 1 and exon 2 of the human SIAH2 gene were disrupted by two gRNAs. k Wild-type (HELWT) and SIAH2 knockout HEL cells (HELΔSIAH2) were incubated with 5 µM MERCK60 for 48 h. Immunoblotting was used to verify the indicated proteins. α-tubulin served as a loading control. l Aliquots of cells from the experiments mentioned in (k) were stained with annexin-V-FITC/PI and analyzed for apoptosis. m HELWT and HELΔSIAH2 were treated as described in (k), washed, and analyzed for colony formation after 14 days. Left, representative images are shown. Scale bar, 100 μm. Right, graph depicts the numbers of colonies. n KEGG analysis shows the most enriched pathways in HELΔSIAH2 compared with HELWT cells, with an FDR q value < 0.05. The data are presented as mean ± SD of three independent experiments. Statistical analyses (unpaired t-test; one-way ANOVA; two-way ANOVA; Bonferroni correction; ns not significant; *P < 0.05; **P < 0.01; ***P < 0.001; ****P < 0.0001)