Fig. 2
From: Dysadherin/YAP axis fuels stem plasticity and immune escape in liver cancer

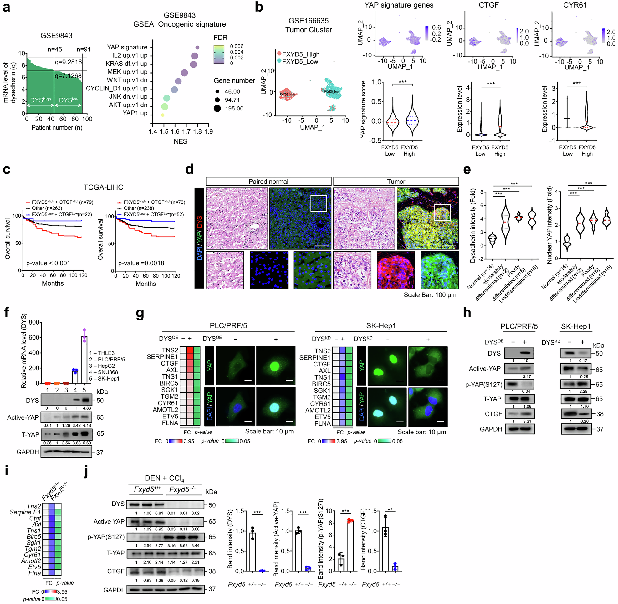
Dysadherin acts as an upstream regulator of YAP signaling to promote malignancy in HCC. a GSEA of DEGs between dysadherinhigh and dysadherinlow HCC tumors (GSE9843), highlighting enrichment of YAP-related oncogenic signatures. b Left: UMAP plot of tumor cell clusters from GSE166635, color-coded by FXYD5 expression. Right: UMAPs and violin plots showing YAP signature scores and expression of YAP target genes (CTGF, CYR61) in FXYD5high versus FXYD5low clusters. c Kaplan–Meier survival analysis of overall survival in TCGA-LIHC cohort stratified by high or low expression of FXYD5 and YAP target genes (CTGF or CYR61). Significance was assessed by log-rank test. d Immunofluorescence (IF) staining of dysadherin and nuclear YAP in paired normal and tumor tissues from HCC patients (n = 14). Representative images and quantification of nuclear YAP signal intensity are shown. Scale bar = 100 μm. e Violin plots comparing dysadherin expression and nuclear YAP intensity across histological grades of HCC in patient tissues (n = 14). f RT-qPCR and immunoblot analyses of dysadherin, total YAP, and active YAP expression in normal hepatic (THLE-3) and HCC cell lines. g Heatmaps and immunofluorescence staining showing expression of YAP target genes and subcellular localization of active YAP in dysadherin-overexpressing (OE) and knockdown (KD) cells. Scale bar = 10 μm. h Immunoblotting analysis of active YAP (non-phosphorylated) and phospho-YAP (S127) following dysadherin OE or KD. i Heatmap showing YAP target gene expression in tumor from DEN/CCl₄-treated Fxyd5+/+ and Fxyd5−/− mice. j Immunoblotting of YAP pathway components and downstream targets (CTGF) in liver lysates from Fxyd5+/+ and Fxyd5−/− mice. Data are presented as means ± SEM. Statistical significance was determined by unpaired two-tailed Student’s t-tests and one-way ANOVA with Dunnett’s multiple comparison tests. *p < 0.05, **p < 0.01, ***p < 0.001