Fig. 3
From: Dysadherin/YAP axis fuels stem plasticity and immune escape in liver cancer

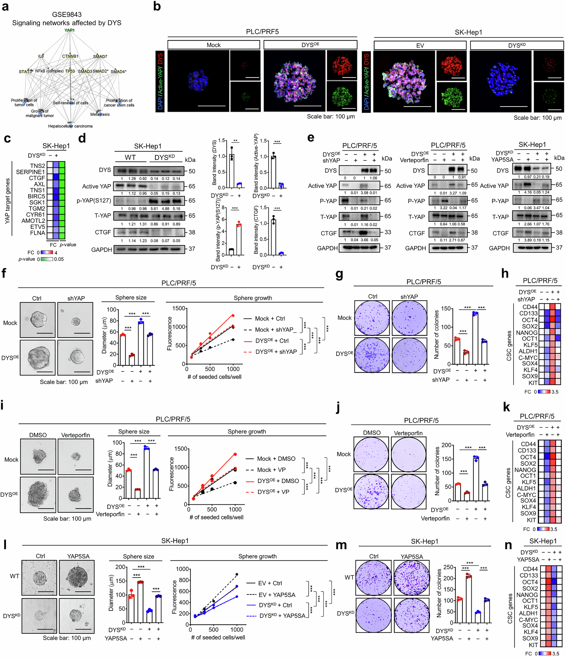
Dysadherin promotes CSC features through YAP activation in HCC. a Upstream regulator analysis using dysadherin-correlated transcriptional signatures in HCC tumors (GSE9843), predicting YAP as a central effector. b Immunofluorescence (IF) staining showing active YAP localization in spheroid cultures of dysadherin-overexpressing (OE) or knockdown (KD) HCC cells (PLC/PRF/5 and SK-Hep1). Scale bar = 100 μm. c Heatmaps showing the expression of YAP target genes in tumors derived from the LDA experiment. d Immunoblot analysis of active and total YAP, phospho-YAP (S127), and CTGF expression in tumors derived from the LDA experiment. e Immunoblot analysis showing YAP activation status in dysadherin OE or KD cells treated with YAP knockdown (shYAP), verteporfin (VP), or constitutively active YAP (YAP5SA). f, i, l Sphere formation assays showing size and growth of spheroids under the indicated conditions (shYAP, verteporfin, or YAP5SA). Scale bar = 100 μm. g, j, m Clonogenic survival assays measuring colony-forming ability in PLC/PRF/5 or SK-Hep1 cells. h, k, n Heatmaps showing expression of CSC-associated genes in dysadherin OE or KD cells. Data are presented as means ± SEM. Statistical significance was determined by unpaired two-tailed Student’s t-tests and one-way ANOVA with Dunnett’s multiple comparison tests. *p < 0.05, **p < 0.01, ***p < 0.001