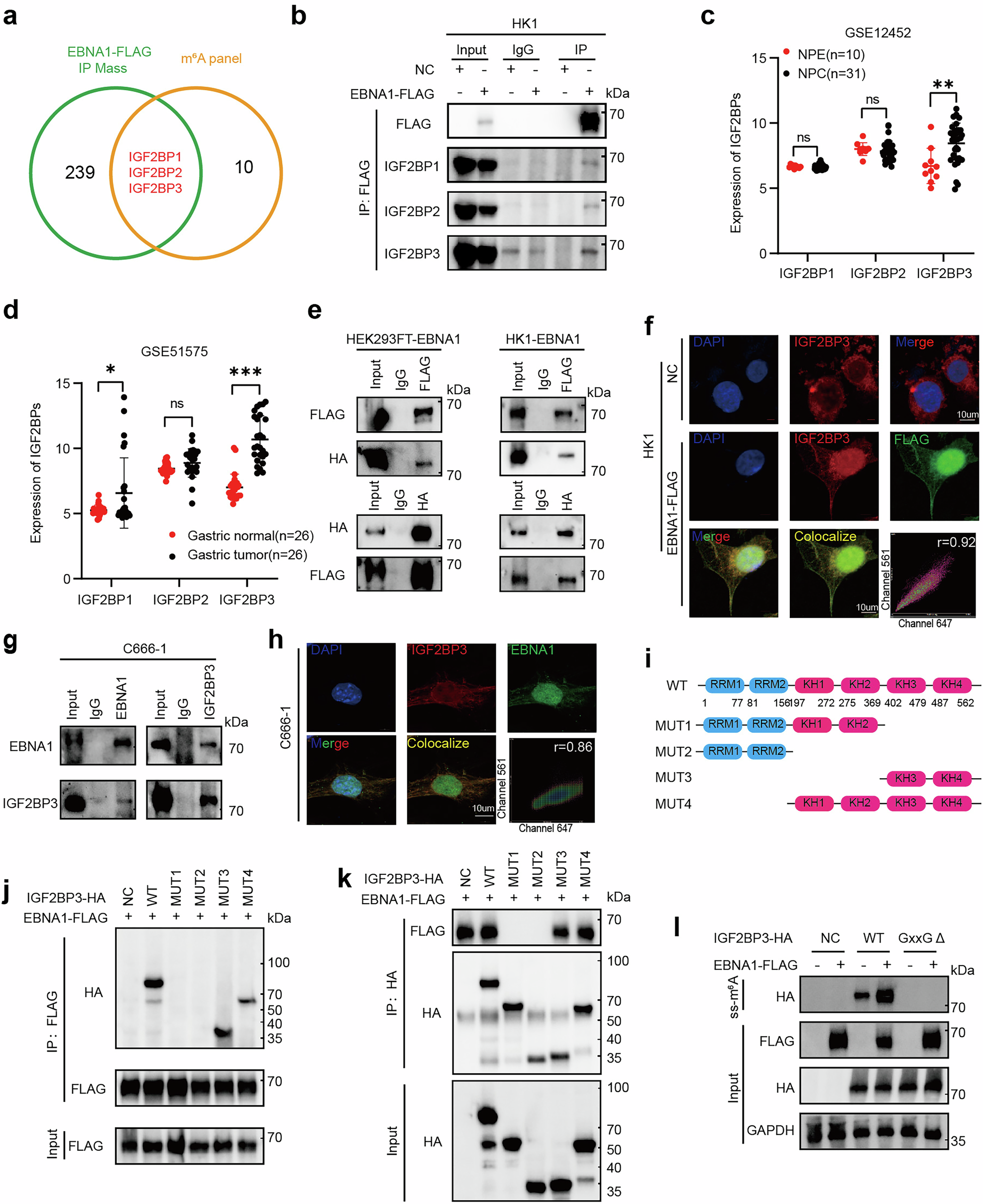
Fig. 2

Interaction between EBNA1 and the m6A reader IGF2BP3. a Proteins that interact with EBNA1 were identified in HEK293FT cells through Co-IP and mass spectrometry, and Venn analysis was used to identify the proteins related to m6A modification. b The EBNA1-FLAG plasmid was transfected into HEK293FT cells, and the EBNA1-FLAG and cell lysate complexes were immunoprecipitated with an anti-FLAG antibody. The presence of IGF2BP1, IGF2BP2, and IGF2BP3 was then detected. NC: empty control plasmid, EBNA1-FLAG: EBNA1 overexpression plasmid. c Relative mRNA levels of IGF2BP1, IGF2BP2, and IGF2BP3 in normal (n = 10) and NPC (n = 31) tissue samples from the GSE12452 dataset. d Relative mRNA levels of IGF2BP1, IGF2BP2, and IGF2BP3 in normal (n = 26) and NPC (n = 26) tissue samples from the GSE51575 dataset. e The EBNA1-FLAG plasmid and IGF2BP3-HA plasmid were transfected into HEK293FT or HK1 cells. The EBNA1-FLAG and IGF2BP3-HA complexes were immunoprecipitated with anti-FLAG and anti-HA antibodies, and HA (IGF2BP3) and FLAG (EBNA1) were detected. The data are representative of two independent experiments. f Immunofluorescence assays using anti-FLAG and anti-IGF2BP3 antibodies were conducted to detect the colocalization of exogenous FLAG (representing EBNA1) and endogenous IGF2BP3 proteins in OE EBNA1 HK1 cells. Cellular nuclei were stained with DAPI and appeared blue. IGF2BP3 and FLAG are visualized in red and green, respectively. The merged image displays overlapping signals of DAPI, IGF2BP3, and FLAG, with colocalization indicated in yellow. Scatter analysis revealed signals in channels 647 (IGF2BP3) and 561 (FLAG). The Pearson correlation coefficient for colocalization is shown. Magnification: 100×. Scale bar = 10 µm. The data are representative of two independent experiments. g In C666-1 cells, the EBNA1–IGF2BP3 complex was immunoprecipitated via anti-EBNA1 and anti-IGF2BP3 antibodies, and IGF2BP3 and EBNA1 were detected. The data are representative of three independent experiments. h In C666-1 cells, immunofluorescence staining with anti-EBNA1 and anti-IGF2BP3 antibodies was performed to examine the colocalization of the EBNA1 and IGF2BP3 proteins. The cell nuclei were stained with DAPI and appeared blue. IGF2BP3 and EBNA1 are visualized in red and green, respectively. In the merged images, overlapping signals of DAPI, IGF2BP3, and EBNA1 appeared yellow, indicating colocalization. Scatter plot analysis revealed signals in channels 647 (IGF2BP3) and 561 (EBNA1). The Pearson correlation coefficient for colocalization is shown. Magnification: 100×. Scale bar = 10 µm. The data are representative of three independent experiments. i Diagram of the different domains in both the wild-type (WT) and mutant IGF2BP3 constructs. R represents the RRM. j, k The IGF2BP3-HA mutants and EBNA1-FLAG plasmids were cotransfected into HEK293FT cells. The EBNA1-FLAG (h) and IGF2BP3-HA (i) complexes were immunoprecipitated with anti-FLAG and anti-HA antibodies, respectively. The IGF2BP3-HA mutant and EBNA1-FLAG complexes were detected via anti-HA and anti-FLAG antibodies. The data are representative of two independent experiments. l Wild-type (WT) or GxxG mutant (GxxGΔ) IGF2BP3-HA plasmids were cotransfected with EBNA1-FLAG plasmids into HEK293FT cells. RNA pull-down assays were performed to study the in vitro binding of IGF2BP3 to single-stranded m6A-RNA probes. The data are representative of three independent experiments. c, d Data are shown as the mean ± s.e.m. Two-tailed unpaired t-tests were used for statistical analysis. *P < 0.05; **P < 0.01; ns, not significant