Fig. 5

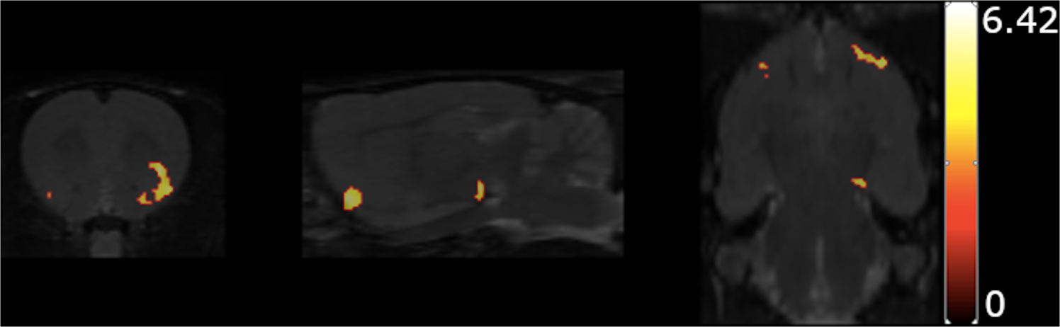
Results of the voxel-wise comparison of the 5-HT2AR binding between the rats of the control group (H0/M0) and the rats treated with haloperidol at 0.25 mg/kg/day.

Results of the voxel-wise comparison of the 5-HT2AR binding between the rats of the control group (H0/M0) and the rats treated with haloperidol at 0.25 mg/kg/day.