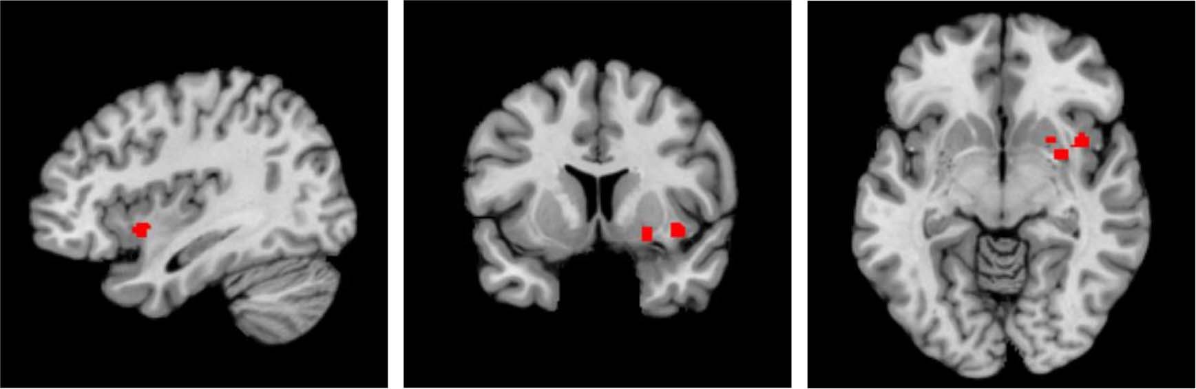
Fig. 3: The result of the sensitivity analysis of voxel-based morphometry studies showing the location of the cluster of significant grey matter volume reduction in the left hemisphere, centred in the claustrum and also including the putamen and insula, in hallucinators compared to non-hallucinators.

The location of the significant cluster, in sagittal (left), coronal (middle) and axial (right) planes, are highlighted in red.