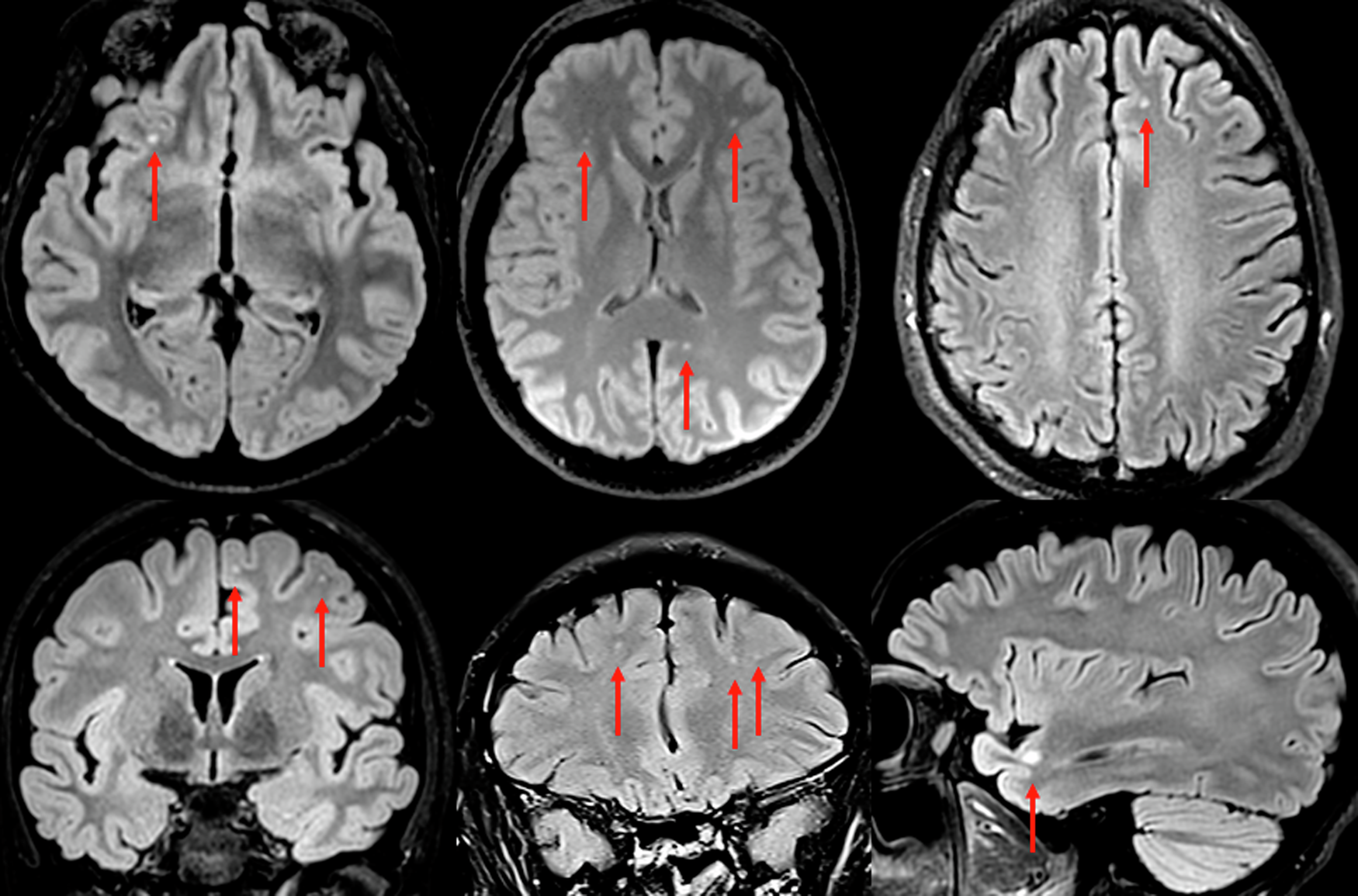
Fig. 1: FLAIR images from brain MRI in six representative cases.

All six cases have non-specific but distinct and well-demarcated spherical white matter changes. This was a common finding in the study, and more than expected for the age group. The most prevalent locations were deep white matter in frontal and parietal regions. The bottom right image shows a juxtacortical lesion in the temporal lobe. Juxtacortical lesions are rarely caused by small vessel disease, but rather associated with inflammation.