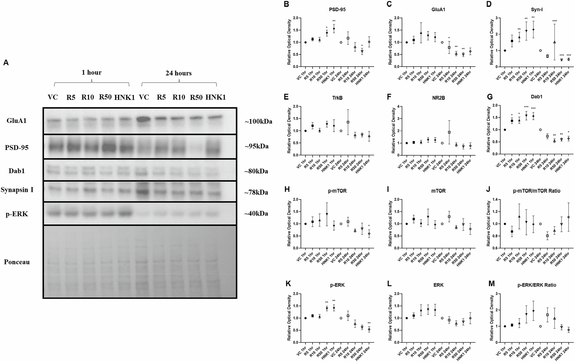
Fig. 2: The impact of reelin and (2 R,6 R)-hydroxynorketamine (HNK) on induced pluripotent stem cell (iPSC)-derived neurons from individuals with treatment-resistant depression (TRD).

A Representative Western Blot images of the impact of reelin and (2 R,6 R)-HNK on iPSC-derived neurons from TRD participants at 1 h and 24 h. All proteins were normalized to Ponceau (total protein expression). Images shown for proteins with significant differences in expression. B-M Graphs showing expression levels of post-synaptic density (PSD)-95, GluA1, Synapsin I, tyrosine kinase B (TrkB), NR2B, disabled adaptor protein 1 (Dab1), mechanistic target of rapamycin (mTOR), phosphorylated mTOR (p-mTOR), ratio of mTOR activity, extracellular-regulated signaling kinase (ERK), p-ERK, and ratio of ERK activity after treatment. VC, vehicle control; R5, reelin 5 nM; R10, reelin 10 nM; R50, reelin 50 nM; HNK1, (2 R,6 R)-HNK 1 µM; *p < 0.05, **p < 0.01, ***p < 0.001 vs. VC.