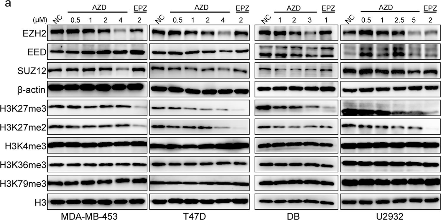
Fig. 2: AZD9291 selectively inhibits H3K27 methylation and exhibits anti-tumor activity.
From: Author Correction: AZD9291 inactivates the PRC2 complex to mediate tumor growth inhibition

a EZH2, EED, SUZ12, H3K27me3, and other histone lysine methylation or acetylation marks levels in MDA-MB-453 and T47D breast cancer cells and DLBCL cell line U2932 (EZH2 WT type) and DB (EZH2 mutant type) were shown by following treatment with the indicated concentrations of AZD or EPZ for 72 h. The β-actin and total histone H3 was shown as a loading control. AZD AZD9291, EPZ EPZ-6438.